使用隱形矯正,矯正暴牙及齒列不整案例
基本資料: 18歲女性
主訴: 患者因右上門牙往右傾斜生長,下顎牙齒也不整齊,覺得牙齒暴牙影響美觀。

矯正前全口照 → 使用隱型矯正治療
醫師診斷 (經醫師使用患正矯正資料做全口分析與診斷)
1. 右上第一門牙往右傾生長,造成暴牙並且與左上門牙有重疊現象,牙齒不易清潔。
2. 由於右上牙齒齒列狀況,一併影響右下齒列不整齊,也間接影響全口咬合狀況。
治療計畫與目標
1. 使用隱形矯正治療,將右上門牙及全口咬合矯正整齊。
2. 矯正完成後使用透明維持器,避免牙齒移動再度重疊。
使用隱形矯正治療說明
矯正前右上第一大門牙傾右生長與左上門牙重疊,下排門牙及齒列一併不整齊 ,經與患者家長討論,決定採不拔牙方式,使用隱形矯正療程將全口牙齒重新排列整齊,恢復正常咬合功

矯正前右上門牙傾右生長與左上門牙重疊 → 使用隱形矯正治療

矯正中期:已將右上門牙與全口牙齒調整撐開空間 → 矯正完成:右上門牙與全口牙齒已矯正整齊
全口矯正實例照

矯正前全口齒列狀況-齒列咬合不正確 → 矯正後全口齒列-齒列已矯正至正確咬合功能

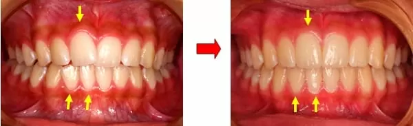
右上門牙與左上門牙重疊,下排齒列不整齊 → 右上門牙矯正至正確牙位,下排齒列恢復整齊

右上門牙與左上門牙重疊,右門牙暴牙 → 全口矯正後右門牙已往內排列整齊

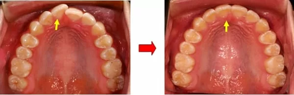
矯正前-口內上顎 → 矯正後-口內上顎

矯正前-口內下顎 → 矯正後-口內下顎

