
台北植牙推薦牙醫診所-敦南麗緻
敦南麗緻集結了一流台北全口植牙的醫師團隊,引進國際先進的醫療儀器及獨特的微創植牙技術。綜合考量患者的具體情況,醫生可選擇「即拔即種」或「舒眠植牙」等方法,使得植牙過程不僅不適感降低,且手術創傷更小,確保植牙過程既安全又舒適。若您正考慮台北全口植牙服務,請不吝與我們聯繫,預約專業諮詢。敦南麗緻台北植牙推薦您!
分享案例: 數位植牙案例
1. 3D數位植牙 德國西門子3D電腦斷層掃描
在一個診次內就可以取得全口口腔的所需要資訊,讓醫師能更精準的知道患者口腔內的狀況,不僅是骨頭內部的問題、牙床的形狀、立體化測量骨頭長度及厚度,還可以正確知道神經管、鼻竇與血管的確切位置,且在手術前做完善的治療規劃,同時可透過電腦畫面呈現,讓患者了解自身的口腔條件。最重要是患者能享受安全、舒適的數位植牙過程。

2. 微創植牙
打破傳統新突破 低疼痛微創植牙術
由於醫療科技不斷的進步,也讓植牙手術有更大的突破。本院所擁有的先進技術設備,讓傳統的植牙手術如今演變為低疼痛的”微創療法”,因為微創植牙手術傷口較小、癒合較快,疼痛時期較短,所以患者不必再受傷口腫脹疼痛之苦。



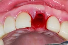
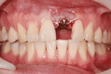
3. 即拔即種
打破傳統即拔即種(又叫立即植牙),拔牙後立刻植牙。患者可在拔牙後立即植入人工植體,並立刻裝戴假牙。讓你治療當天就能擁有美觀的門面。
我們在植牙領域的突破,克服患者對手術的恐懼,也同時幫助患者告別了缺牙的痛苦,讓患者重新擁有一口完美的牙齒。

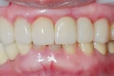
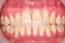
↑ 治療後:微創立即植牙恢復美麗外觀
4. 舒眠植牙
舒眠植牙療程是由本院專業的牙醫師與麻醉科醫師合作,配合精密儀器監控手術安全,讓工作忙碌、害怕看牙或容易緊張的您,在減痛、舒適和安全的狀態下快速完成!此技術有全身麻醉的優點,但風險相較於全身麻醉低了許多。
6. 全口重建
「全口重建」有二種情況,第一種為全口無牙,第二種為部份缺牙。
而且這是相當複雜且需要討論的課題,本院以植牙為中心,假牙、牙周、矯正、口腔外科等各專科醫師為輔,針對個別患者的病症,共同開會討論、分析為患者量身訂做每個人的治療方式。

7. 上顎竇增高術
上顎竇位於上顎後牙區的正上方,是副鼻竇的一種,基本上是個充滿氣體的腔室,牙齒拔除後,上顎竇可能往下延伸到無牙區,造成缺牙區齒槽骨的不足。
本院利用專利器械將上顎竇膜提高並降低黏膜穿孔破裂的機率及避免術後感染(有時會合併骨粉)的使用,以利人工植體植入。

↑ 治療後:微創補骨增高鼻竇,不腫脹

↑ 手術後二周傷口完全癒合
8. 骨脊增加術
伴隨著缺牙時間的長短及年紀的增長,齒槽骨會慢慢的萎縮,因此當骨頭高度或厚度不足時,我們便必須使用骨脊增加術來增加骨量,以利後續植牙療程。
缺牙的選擇—人工植牙術
人工植牙就是利用親骨性良好的鈦金屬牙根,經由小小的手術將人工牙根植入牙骨內替代天生牙根,恢復咬合咀嚼功能。等待完全癒合後,就可裝置假牙,整個治療過程就如同自然牙再生一般!尤其是老年人,再也無須擔心假牙鬆脫,徹底告別缺牙的煩惱。
人工植牙的好處
● 保留兩旁的健康牙齒
● 恢復美觀與自信、安全可靠
● 不易殘留食物殘渣
● 不需擔心假牙脫落
● 恢復咀嚼能力、重新享受美食

誰可以接受人工植牙?
● 任何人皆可接受植牙手術,不分年齡、不分性別。
● 有了人工植牙之後,老年人的假牙從此不必拿上拿下。
※但患有糖尿病、高血壓、心臟病、骨質疾病或孕婦者,則不建議進行人工植牙療程。
安全的人工植牙術
人工植牙用於人體已有40年歷史,手術時僅需要局部麻醉,與一般拔牙方式相同,只是個小小手術。只要按時回診及服藥,並不會造成生活作息的困擾。
人工植牙療程

- 將OSSEOTITE植體植入齒槽骨中
- 鎖上癒合基座使牙肉成形
- 當植體穩固在齒槽骨中,就可接上假牙基座
- 最後的步驟即是接上牙冠,也就是假牙
診所選用植體品牌
「Dentsply ASTRA」植體
全球領先的專業牙材製造商Dentsply Sirona旗下的瑞典品牌「Astra Tech」的植體,以其優異的生物相容性、獨特的表面處理技術以及長期臨床驗證的成功率和耐用性,同時提供卓越的美學效果,在全球牙醫界廣受推崇。

「BIOMET 3i」植體
「BIOMET 3i」植體是由美國的3i Implant Innovations Inc.公司所研發。這家公司是牙醫與工程師聯手創建,結合牙醫知識和技術,希望創造出最好的植體系統。
簡單說,植體要成功,最重要的就是它的表面如何與骨頭結合。透過長時間的研究,「BIOMET 3i」植體特殊處理的表面被證實能夠很好地與骨頭結合且牢固。











