醫生我的牙齒好亂,想矯正把我的牙齒排列整齊恢復美觀
患者主訴
病人因牙齒排列不整齊,長期覺得自己的牙齒不美觀,希望矯正牙齒將牙齒排列整齊,恢復臉形整體美觀。

醫師診斷
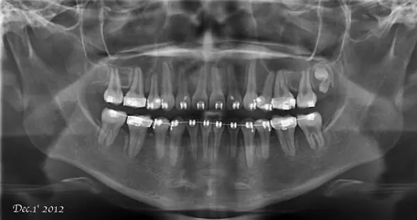
經曾醫師透過X光片診斷發現病症,病人屬於罕見的增生牙病況,(增生牙會導致正常成人牙齒的牙根產生破骨細包,而使牙根產生外吸收現象,病患到了約40多歲左右會因牙根的外吸收,造成牙齒不穩固、搖動的現象。
治療方式
透過開刀拔牙再使用矯正方式將牙齒排列整齊,恢復牙齒及臉形的美觀。

圖1.轉口腔外科將埋在骨頭裏的增生牙取出,並拔掉已產生牙根外吸收的牙齒及其他已長出的增生牙。

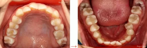
圖2.再利用矯正方式將牙齒重新排列整齊,並符合患者牙齒的咬合型態。
治療過程

病患上排門牙及左上區牙齒不整齊,下排門牙及左下區牙齒排列不整齊,不僅影響整體臉形的美觀也造成牙齒上、下咬合不舒適及磨損。

拔掉埋在骨頭裏的增生牙以及已經產生牙根外吸收的牙齒。

使用一般傳統矯正器將牙齒重新排列整齊。


