再也不需要自拍神器也可以很帥了
患者主訴
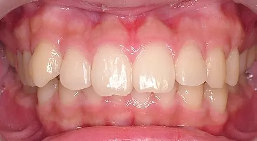
牙齒很暴,要用力緊閉嘴唇,不然嘴巴會開開,放鬆嘴巴開開的看起來很智障,可是用力閉緊嘴巴卻被說成擺臭臉、看起來很兇,真的很冤枉。別人拍照只要抓個角度就會好看,我女朋友很喜歡自拍,他常約我自拍,但不管什麼角度怎麼拍怎麼暴,所以我真不喜歡拍照。

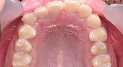
治療前

治療後
醫師診斷
1. 骨性一級關係
2. 上下顎門牙前傾(齒性暴牙)
醫師治療計畫
1. 拔除上下顎共四顆小臼齒
2. 利用拔牙空間將齒列齊平化
3. 運用迷你骨釘將前牙齒列後移以改善暴牙

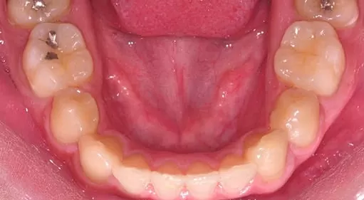
治療前

治療後


醫師的話
阿章是個青春期男生,這個年齡的患者佔我門診一大部分,許多這個年紀的男孩不太願意表達自己的意見,記得和他初次在門診見面,問他對自己顏面外觀及牙齒的意見,他總是害羞的不好意思說,後來旁敲側擊才從阿章的爸爸那裡知道是阿章自己覺得牙齒太暴,想要做矯正。
他的牙齒看起來雖然有一點不整齊,但不是很嚴重,若他只介意牙齒不整齊,其實是可以不拔牙就可治療,但是他想要牙齒可以不要暴暴的、嘴唇不要凸凸的,那拔牙的機會就會增加許多。經過分析,他的暴牙屬於上下顎雙側暴牙(聯合暴),牙齒角度相較於正常值約有17°落差,程度相當嚴重,不過幸好診斷結果阿章沒有骨骼性暴牙,單純是牙齒的問題。
最後的治療結果是拔除四顆小臼齒,將前牙暴牙的問題改善,嘴唇治療完自然和諧多了。齒顎矯正治療,溝通是很重要的,患者一定要讓醫師充分知道自己的想法,如此治療計畫的設計才能符合患者的需求。恭喜阿章,可以自信的大笑了。

治療前

治療後
患者的話
矯正完後牙齒清潔變得好容易,而且大家也都說我變帥了,當然一定要常常跟閃光來自拍一下。

治療前

治療後



