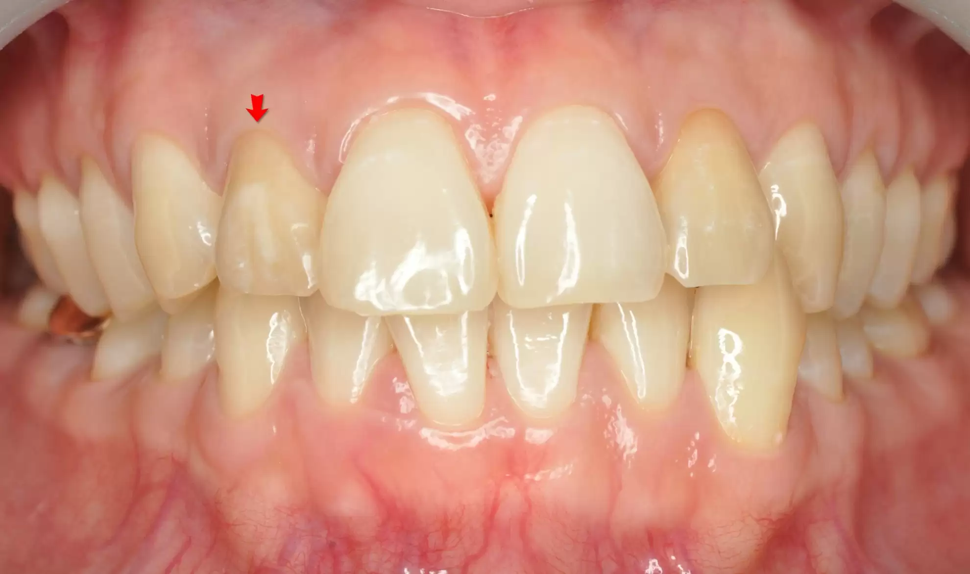
您分辨得出來哪幾顆是假牙嗎?

患者主訴
之前曾被朋友說牙齒顏色不均,自己也覺得很黃,拍照時看照片很明顯,有試過藥妝店買來的美白牙膏,都不是很有效,經朋友介紹前來敦南麗緻牙科求診。

圖一

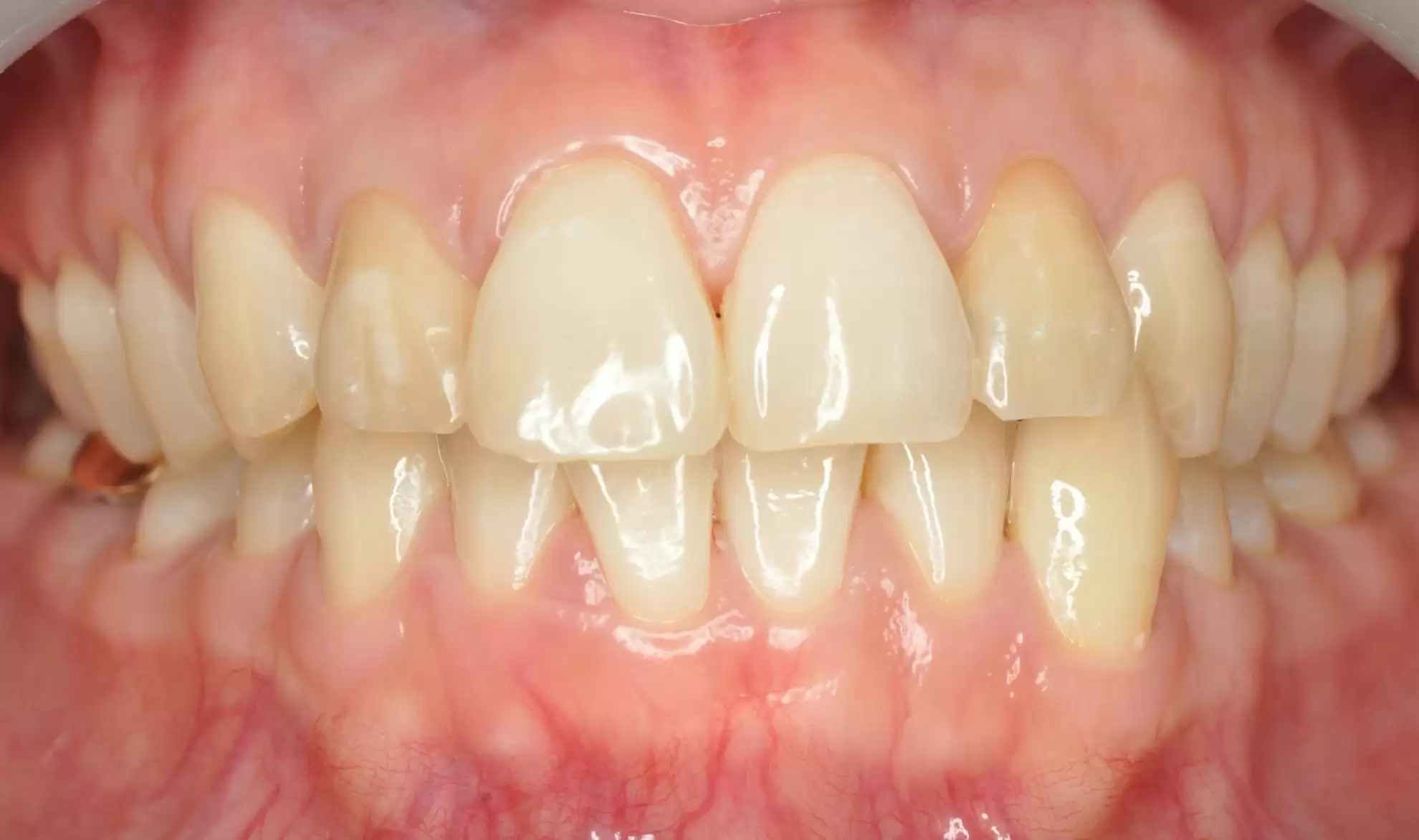
圖二

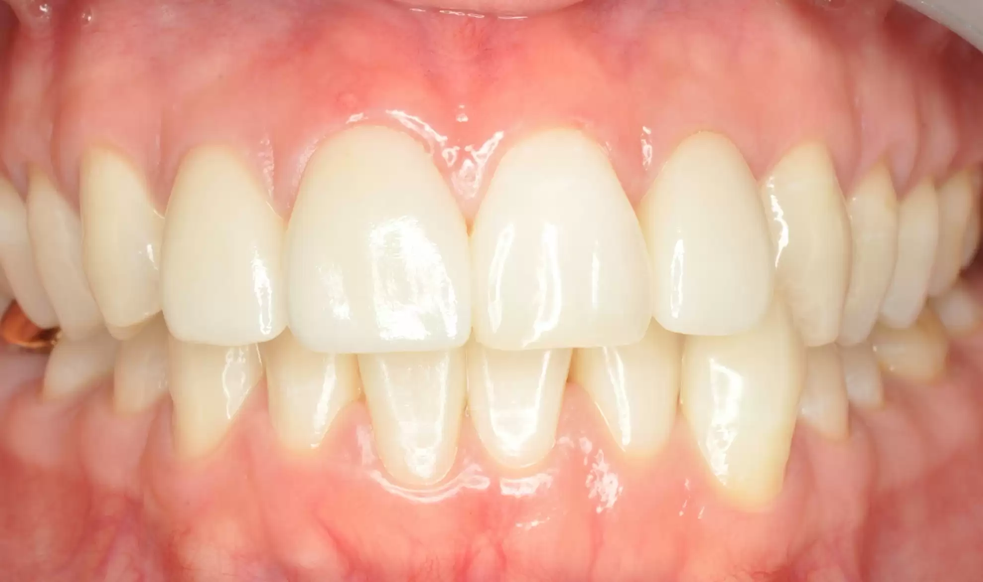
圖三
醫師治療計畫
- 全口牙齒偏黃,顏色不均,建議先進行居家美白療程。(見圖一、圖二)
- 上顎兩顆側門牙因根管治療過,顏色特別黃,建議做根管內美白,之後做全瓷冠。(見圖一、圖二)
- 下顎兩顆門牙因角度外翻,導致右上門牙暴牙,建議做全瓷冠改善。(見圖一、圖三)
- 右上門牙有暴牙,且太長不好看,建議做全瓷冠調整角度及長度。(見圖二、圖三)
- 因患者有嚴重磨牙,所以在假牙治療完成後,晚上睡覺要戴磨牙護套保護自己牙齒及假牙不再磨損。
治療成果

治療前

治療後
醫師的話
3D齒雕的全瓷冠又稱「人工琺瑯質」,其質地與真的牙齒幾乎相同,也是目前擬真公認的全瓷冠。如圖示,紅色箭頭是自然牙,藍色箭頭是全瓷冠,幾乎是完全分不出來。科技的進步,讓假牙更能呈現出自然的質感。

患者的話
之前就有聽說敦南麗緻牙醫診所,他們也幫不少藝人做過治療,果然名不虛傳!醫師先建議我做全口美白,而且是自己就可以完成的居家型美白療程,只要晚上睡覺的時候戴著美白牙托,非常簡單,我總共戴了2週的美白。但因為以前做過根管治療,有兩顆牙的顏色實在還是不滿意(有點花花的感覺),醫師說先幫我做根管內部美白,之後再做全瓷冠。加上其中一顆門牙明顯暴牙,為了美觀我們決定也一起做全瓷冠,以達到好效果。
過程中,醫師都會很細心幫我拍照做紀錄,現在看到剛來的時候的照片,真的覺得美好多喔!最後全瓷冠裝上去時自己照鏡子會不自覺一直笑XD,朋友還以為我跑去整型了呢!
對了!醫師說為了不讓他的完美作品受到磨牙的傷害,還做了一個磨牙護套讓我睡覺時戴著,真的是太感謝醫師了!

