X光片顯示不明的黑色陰影 骨頭被細菌吃掉了 怎麼辦?
患者主訴
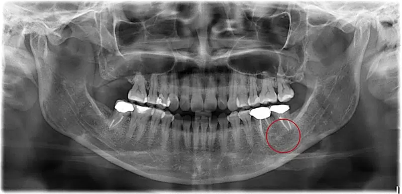
原先只是想做矯正而前來做矯正諮詢,經過醫師檢查發現X光片有異狀,左下方有一片黑黑的陰影(圈選處),醫師建議我趕快做根管治療,以免細菌繼續破壞惡化。

術前 全口X光片
治療過程說明
患者因想改善齒列及外觀來院評估,在全口健檢的過程中發現:
- 左下臼齒區域 (圈選處) 出現巨大病灶且造成左下第一大臼齒 (箭頭處) 牙根吸收,牙髓神經部分壞死。
- 左下第二大臼齒(星星處)舊有根管治療未達理想,也受病灶侵犯。
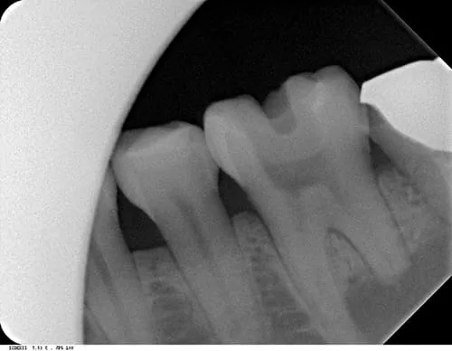
因此決定配合顯微鏡的使用進行左下第一大臼齒(箭頭處) 根管治療,及左下第二大臼齒(星星處) 重新根管治療,以期病灶縮小後,再進行手術摘除病灶。
經由根管清創以及置放根管藥物,數次約診後,以顯微鏡確診病灶已無異常滲出物,則加以根管充填。給予臨時假牙配戴並追蹤兩年後,病灶在無手術介入的狀況之下完全消失,且齒槽骨再生,於是製作正式假牙後完成治療。
治療成果
(1) 全口X光片

(2) 根尖X光片

術前 (左下第一大臼齒)

根管治療術中 (左下第一大臼齒)

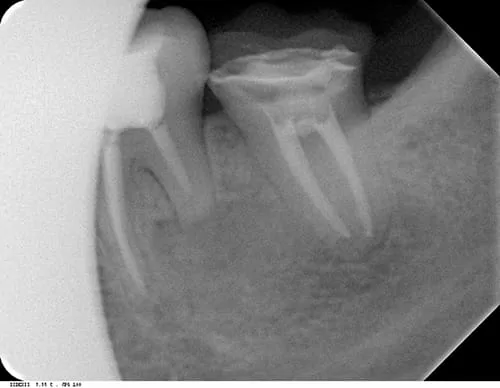
根管治療術後封填

根管治療術後三個月
(3) 顯微鏡攝影畫面

術前 (左下第一大臼齒)

術後 (左下第一大臼齒)

術前 (左下第二大臼齒)

術後 (左下第二大臼齒)
醫師的話
傳統根管治療在缺少顯微鏡的輔助下,視野非常受限,會造成根管彎曲或狹窄的空間無法真正獲得清潔,因此傳統較大的根管病灶癒後也較差。現今在顯微鏡的幫助下可確實達成根管清創,不僅有效減少治療時間、次數,更能增加治療效果及癒後,是牙醫師、更是患者的福音。
患者的話
以前只知道根管治療就是所謂的抽神經,以為只要一個步驟把神經抽起來就好了,沒想到是個精密費時的治療,而根管治療如果沒有確實做好,還是有可能再出問題。還好拜科技所賜,現在已經有顯微鏡的設備能夠幫助根管治療的成功率大大提升,治療前我也自行上網研究了相關的資料,大醫院的牙科部也是有在幫人做顯微鏡根管治療,但收費不便宜,而且做完治療還要自己再去約做假牙,考慮之下,我選擇就在敦南麗緻牙科院內接受治療,不僅有儀器設備,治療後也會拍X光片並由根管醫師親自確認根管的狀況,都沒有問題才會開始做假牙。令人放心的還有診所的護理人員、櫃檯人員都很清楚我的治療進度,還會在我約診治療完後打電話來關心我的情形。感謝醫師從頭到尾親自細心地幫我把治療完成,今後我會好好照顧我的牙齒,也會定期回去診所洗牙跟檢查的。

