做夢也沒想到可以有這麼閃亮的牙齒
患者主訴
我小時候不會用牙線,所以前面的門牙都從牙縫蛀進去了,有兩顆甚至蛀太深而必須抽神經,因為後來決定要矯正牙齒,所以只有先做臨時假牙,矯正完成後也沒繼續去處理,不知不覺就放了好幾年,最近除了之前補的牙齒開始變色了,連臨時假牙都發黃變臭。周圍的人都看不下去,覺得花很多時間做矯正,卻因為門牙的關係而沒有達到預期的美觀,實在可惜!大家開始要求我要整理牙齒了,我才發現原來大家都覺得我的牙齒髒髒的,實在有夠丟臉!

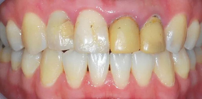
全瓷牙冠製作前--臨時假牙及齲齒

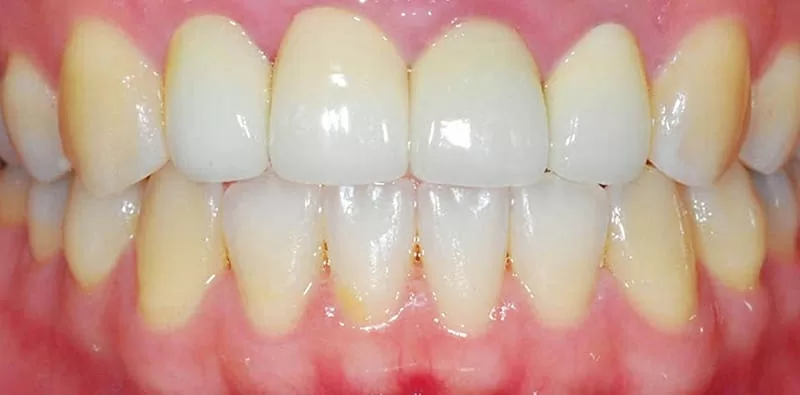
全瓷牙冠製作完成
醫師診斷
患者的左上正門牙以及左上側門牙皆因未做正式假牙而導致二次蛀牙產生不密合之縫隙,又因臨時假牙材質為樹脂,穩定性低,易染色,故臨時假牙變黃。
而右上側門牙則因齲齒至牙髓腔,進而導致慢性牙根尖周圍發炎,並且與右上正門牙先前補綴的樹脂一同染色,並產生二次蛀牙。
治療計畫及目標
- 拆除左上正門牙及側門牙之臨時假牙。
- 右上側門牙根管治療。
- 右上側門牙放置玻璃纖維牙柱釘。
- 右上側門牙至左上側門牙雷射牙齦塑型。
- 右上側門牙至左上側門牙裝置全瓷牙冠。

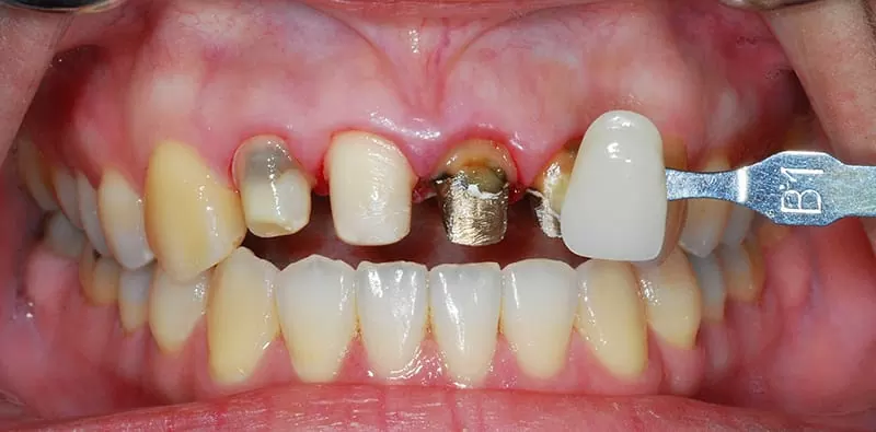
全瓷牙冠製作中
醫師的話
患者本身因療程長時間延誤,除導致二次蛀牙並延伸為慢性牙根尖周圍炎,已侵犯根尖周圍之齒槽骨,若持續未治療,經常可能引起蜂窩性組織炎。
再者,因臨時假牙及健保補牙皆為樹脂製作,因穩定性差,故容易有縫隙產生,且分子大,易吸附飲食中之色素,而造成變色及不密合的狀態,更易引起支台齒二次蛀牙。
患者的話
好險沒有繼續拖下去,不然真的就跟新聞上看到的病人一樣,連臉都蜂窩性組織炎,差點毀容呢!自從醫師幫我做了全瓷假牙之後,我才發現原來我的牙齒這麼漂亮!連我男朋友都稱讚我現在笑起來很燦爛!真的是唇紅齒白呢!我已經可以很有自信的笑了喔!

