門牙植牙--想要擁有如同自然牙般的植牙?

患者主訴
我的右上門牙會動搖已經好幾個月了,前前後後已經給兩家診所評估過,都有懷疑牙根斷裂但都無法肯定是否真的是斷裂,而且牙齒拔掉植牙,也無法保證能恢復原本自然牙的美觀,可能會牙齦萎縮,造成門牙大小顆不對稱,所以遲遲不敢接受治療。但是牙齒依然疼痛、長膿包,經親友推薦換到敦南麗緻診所評估。
醫師診斷
第一次來看診檢查,當場就安排幫我拍攝3D斷層掃描,確認是牙根斷裂必須拔除。
而且醫師事先已由3D斷層掃描評估其骨質缺損狀況,植牙後應可達到我對門牙美觀的要求,我馬上就約來植牙的時間。
診療過程
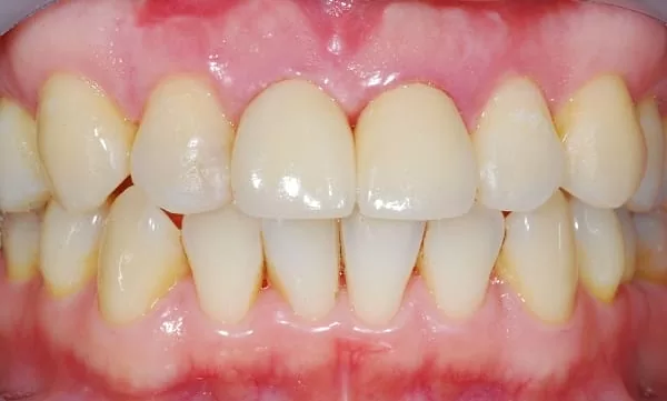
那天來先拆掉我門牙上面舊的牙套及釘子,採無創傷性拔牙將右上門牙拔除,並立即植牙,其骨質缺損的地方用骨粉及再生膜填補。三個月後以臨時牙套進行牙齦塑型,使兩顆門牙對稱並且能像原來牙齒般自然;經過一個月後,裝上植牙柱心,製作全瓷冠,完全看不出來曾經接受過植牙,總算不用再到處流浪找牙醫,也解決一直來的疼痛。


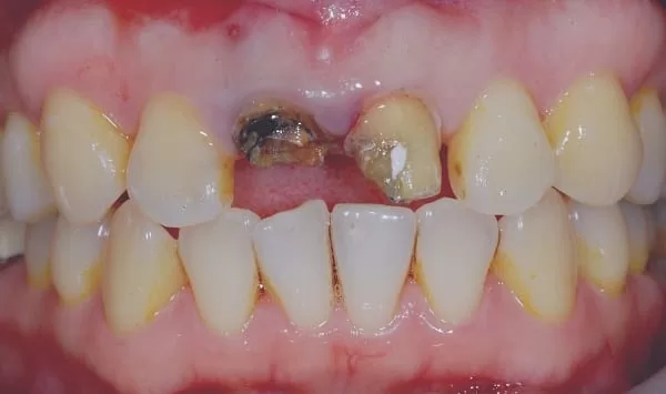
拆除原來牙套及釘子,拔牙後看到牙根確實斷裂 ~~~ ε(┬┬_┬┬)3 心痛!
當天立即植牙,外側約5x7mm的骨缺損。缺損處醫師早再事前已經告訴我要實施 骨再生手術,充填骨粉後使用再生膜覆蓋並縫合傷口。治療後醫師讓我看手術中拍攝的照片,順便解說治療步驟,照片好嚇人喔!
可實際上過程中我完全不覺得有任何不舒服耶,手術中我還睡著了 ... ╮( ̄▽ ̄")╭

三個月後換上臨時牙套進行牙齦塑型,慢慢將植牙處的牙齦調整到如同原來長出的牙齒般自然。


最後接上植牙柱心,製作全瓷冠,瞧! 完全看不出來曾經接受植牙吧。


醫師說比較最初與植牙後的X片,可見到當初不僅完整保留原來的骨質,並且再生手術引出更多的骨質,如此牙齦才能塑型到對稱、漂亮。我覺得很幸運可以來這邊將牙齒恢復美觀,從此可以擺脫"掉門牙"的惡夢,真的非常感謝敦南麗緻牙醫診所。

