想永保潔白牙齒? 居家美白解決您的問題
患者主訴
我的牙齒都很健康,但是覺得的齒色太黃,想變白一點。而且我想要一直都很白,是不是有能維持美白比較長久的方法?
醫師診斷與治療
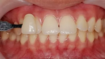
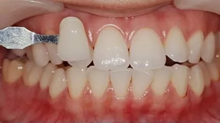
此位小姐的牙齒很健康沒有蛀牙,可以馬上進行美白,經專業比色板比色後齒色為A3,並無其他無法去除的染色。所以直接進行冷光美白後齒色變白至A1,進步了7個美白色階。
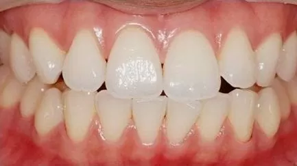
之後只要定期每隔6~12個月使用居家美白維護,便能時時刻刻擁有一口潔白的牙齒

美白前齒色為A3

冷光快速美白後齒色為A1

定期居家美白,3年後齒色仍維持A1

居家美白牙托

