市售美白產品,造成牙齒酸軟敏感 ,犧牲健康換來美白!!
醫師診斷與治療
牙齒美白並非一次就可達成,要根據不同的齒色及牙齒敏感的程度,量身訂做不同的美白療程。目前市面上販售的牙齒美白商品安全沒有人把關,也常會有藥劑滲漏的現象,使牙齒與牙齦受到傷害、或意外吞食造成消化道的傷害。此位小姐因使用市售的美白產品,造成牙齒酸軟敏感,不敢喝冷飲。以居家美白搭配抗敏感劑的使用,慢慢恢復牙齒健康而且美白效果令她非常滿意。

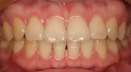
美白前齒色為A3.5,痠痛難忍

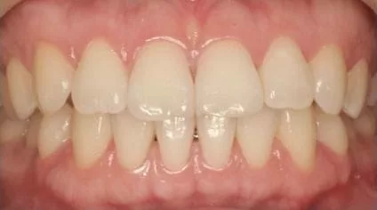
美白後齒色為A1

使用多種市售美白產品,效果不持久

接受美白療程後,效果持久、不再敏感
患者的話
本來以為牙齒美白很簡單,只要買個美白產品使用就可以了,沒想到卻造成牙齒痠痛難忍。還好經過醫師細心的診斷及調整,牙齒不再敏感了,不僅牙齒潔白也能擁有健康。

