我的門牙恢復美觀,意外為我帶來好人緣
患者主訴
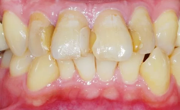
患者的門牙因為長期用樹脂補牙,牙面剝落的參差不齊;在工作上也時常需要與客戶交談溝通,在與客戶面對面洽談時,常會因為門牙的不美觀,而不好意思開口暢言,也間接影響客戶對他的印象,在公司同事與主管們的建議下,希望將門面整理好為形象加分,所以來診所諮詢。
診斷說明
患者前牙長期使用樹脂補牙,樹脂長時間經熱脹冷縮之下會逐漸剝落或縮小,除了飲食習慣之外,若刷牙不勤勞,刷不乾淨很快地就會再次蛀牙及變色,所以很容易愈補愈大洞;並且患者的牙齦狀況不佳已有紅腫的現象。
經了解患者的需求及狀況,除了美觀之外尚需考量到牙齒整個上、下咬合的功能性,所以建議患者使用全瓷冠牙齒美容的方式進行治療。
治療說明
- 首先將患者剝落及樹脂的地方清乾淨,並告知患者每日要做好口腔衛生清潔。
- 清除樹脂後,患者剩餘的齒質還不錯所以建議使用全瓷冠牙齒美容,除了有足夠的遮色效果也比樹脂補牙的方式堅固及耐用。
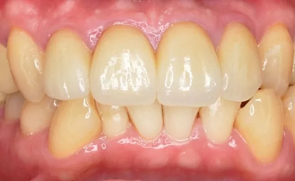
- 經幾個月治療牙周之後並將上顎前4顆門牙換成全瓷冠牙套,患者的牙齒已恢復健康的牙顏色。
- 只要患者做好口腔清潔,也比較不容易再次蛀牙。

治療前

治療後

