前牙假牙露出黑邊,使用全瓷牙齒進行美容修補
患者主訴
往返兩岸工作的專案經理人,數年前在其他家診所做的假牙已露出黑邊,而且全口牙齒偏黃。由於經常需要面對客戶做簡報,以及業務應酬,故來本診所進行全口牙齒美容及前牙假牙重做。
醫師診斷
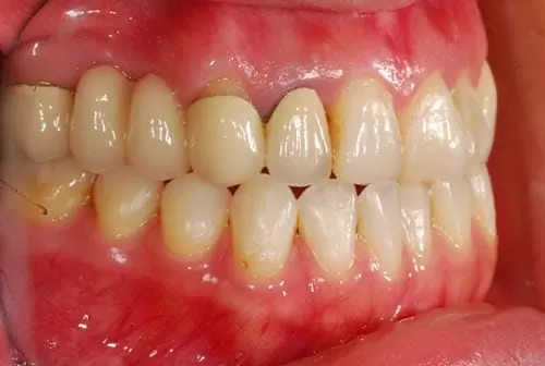
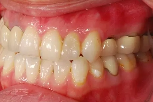
- 左上從最後一顆開始數第五顆牙,右上最後一顆牙往前數第三顆牙,二顆牙都已露出黑邊,而且有脫落狀況。
- 牙齒咬合不佳,也影響美觀
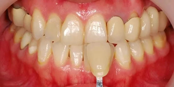
- (圖一至圖三為治療前照)
- (圖四為治療後全口照)
(圖一治療前)

(圖二治療前)

(圖三治療前全口照)

未治療前全口正面的外觀,右上側門牙有牙齦紅腫現象,進行齒頸部美白。
(圖四治療後全口照)

治療後,牙齒及齒頸部顏色均勻患者恢復自信的笑容。

