矯正後清潔保健不佳,重新進行牙齒美容
患者主訴
因職業為展場MODEL,對外觀較重視,在其他診所已完成齒顎矯正的療程,但由於其在矯正時牙齒的清潔維護執行不佳,導致整個牙齒不但黃黃的,而且牙齦還有紅腫的現象。此外上排門牙二顆及左右側二顆牙,由於蛀洞太大,填補不易,色澤不均勻,齒色不一致,灰灰黃黃的,於是進行全口及門牙的美容。
診療方法
先將全口蛀牙填補後,再進行全口美白。美白後上面四顆門牙製作全瓷冠,恢復外觀及建立微笑曲線。

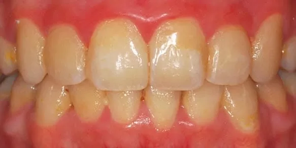
治療前
全口黃牙,上門牙4顆,每一顆咬合面都有樹脂補過的痕跡,門牙表面看起來凹凹凸凸;而牙齒口腔衛生保養不好,導致牙齦紅腫,整口非常的「不健康」。

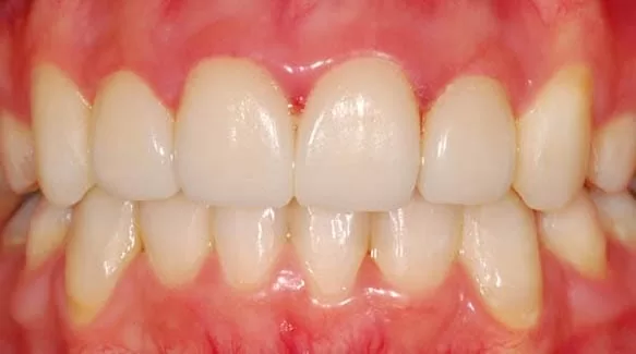
治療後
先進行冷光美白後,上排四顆(2顆門牙及左右側牙)再重新做全瓷冠假牙,經過治療後牙齦紅腫的情形也解除,整口牙齒真是又健康又美麗。

只有健康美麗的牙齒,才能成就漂亮的微笑曲線,每個人都可以擁有的喔。

