前牙美學治療,全瓷牙冠合併人工牙齦
患者主訴
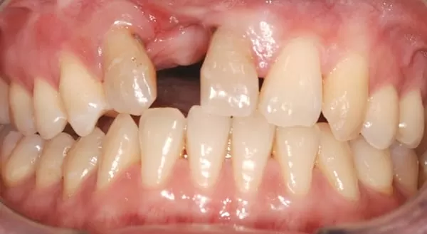
因先天性唇顎裂,在長庚醫院顱顏中心做過多次修補手術;但右上大門牙及側門牙區域,經多次自體骨移植(希望將來能植牙)皆失敗,留下嚴重的缺損區域(圖1)。
患者已放棄植牙計畫,希望能製作牙橋修復嚴重缺損的位置。
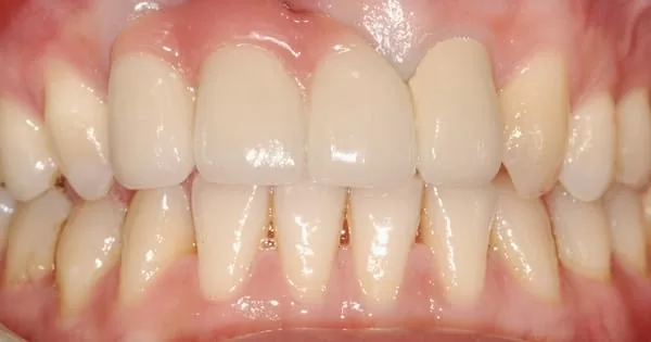
經評估後決定製作4顆傳統烤瓷牙橋合併人工牙齦(圖3,4),恢復其前牙美觀、咀嚼功能及發音不良的困擾(圖2)。並且在不影響美觀的情況下,兩兩牙齒間留有細小的牙縫,使其能使用小牙間刷做清潔。

(圖1: 治療前正面觀)

(圖3: 治療後正面觀)

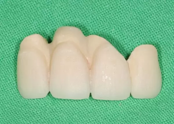
(圖2: 傳統烤瓷牙橋製作試戴)

(圖4: 人工牙齦製作完成)

