隱形矯正-牙齒矯正讓臉形變更美了
患者主訴
病患門牙外暴突出,在開口時也影響美觀,牙齒的上下咬合也無法確實密合。
治療方式
經齒顎矯正專科曾振文醫師為病患檢查後發現,病患上排門牙暴牙,下排門牙也不整齊,經過臉形的比美學比例設計,曾醫師建議病患選擇使用隱型矯正治療,恢復牙齒及臉形的美觀及牙齒的正常咬合功能。
矯正過程
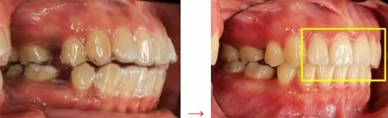
矯正前-左上側門牙暴牙往外突出影響美觀, 矯正拔牙第5顆臼齒,挪出空間使用隱型矯正。

矯正前右下排門牙也被往內擠,牙齒不整齊。戴上隱形矯正牙托

矯正前、矯正後之比較



矯正完成
臉型明顯瓜子臉,微笑曲線也讓人變得更美了。

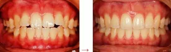
矯正前(正面) / 矯正後(正面)

矯正前(正面) / 矯正後(正面)

正前(側臉) / 矯正後(側臉)

以數位軟體設計符合患者臉形完美曲線,採用隱形矯正方式為患者印製隱型矯正牙托,因牙齒在矯正期間皆會慢慢地移動;為了使矯正更精準,約每一個半月會再印新一副牙齒模型,再印製符合新齒態的隱形矯正牙托,以達到優質的矯正效果。

