改造牙齒門面,找對醫師好重要!
患者主訴
患者從事公關工作,右上側門牙因為根管治療後,開始變色,另外對於自己門牙不對稱的型態也不甚滿意,經由朋友介紹,約診諮詢。


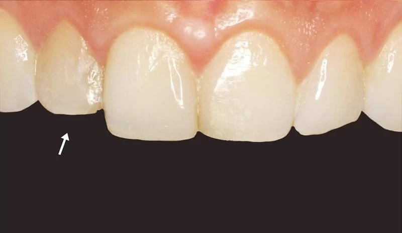
治療前 : 上排門牙大小不一,中線 歪斜,右上側門牙變色。

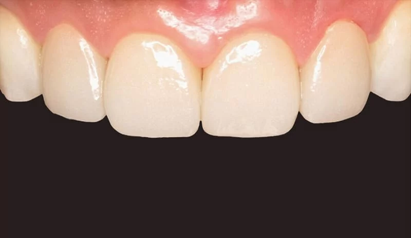
治療後 : 上排牙齒排列整齊,看起來對稱又自然。
醫師的話
患者覺得自身牙齒不夠白,所以在改造門牙前,建議先做居家美白,並將門牙換成3D仿真牙的臨時牙套, 接著與患者進行門牙的型態溝通,現場做型態調整。患者考量自身臉型較小下巴較短,希望自己牙齒看起來是可愛一點的,所以我們選用3D齒雕全瓷冠,打造出患者想要既自然又透亮的可愛門牙。
患者的話
因為工作關係需要不斷開口說話,加上工作忙碌,原本側門牙做完根管治療後,就應該做假牙保護起來,結果拖延到牙齒變色不美觀才來就診,幸好在這段期間我沒有去咬到太硬的食物...(真不敢想像咬斷牙齒的狀況),真的很感恩醫師,非常有耐心的聽我對門牙的想法,改造後就是我心目中想要的型態,真得很棒,開心分享給同事後除了得到讚美,也讓同事們開始對於自己牙齒改造很心動呢!

