從小到大因為容易蛀牙,看牙都快成為夢魘,所以非必要就遠離牙醫成為我的志向!這次因為上牙犬齒抽神經後,必須先裝臨時假牙觀察,確認牙齒狀況沒問題,才能再做牙冠保護起來,此時牙醫師建議我是否要先做牙齒美白呢?因為牙冠一旦裝置在嘴巴裡,是沒辦法任意改色的喔!恩~仔細看看,牙齒確實沒很白,所以腦波弱弱立馬約診美白諮詢時間~~~

終於到了美白諮詢時間~~~ 李醫師先檢查我的牙齒狀況,偏屬敏感性牙齒,雖然牙齒美白有兩種方式,一是快速達到效果的冷光美白二是溫和的居家美白,但是衡量牙齒條件,李醫師建議我在家做居家美白即可,真是貼心的李醫師,替我省了一點荷包,美白天數需7-14天,每天配戴2-3小時,如果牙齒狀況許可,可以再自行延長配戴時間,雖然沒有冷光美白快速,但是以溫和漸進的方式,一樣達到白又適合自己。真的~愛美也不能操之過急喔!

李醫師拿出比色板,我才知道牙齒可以有這麼多種顏色,媽呀~自己牙齒也黃的太均勻了吧…好害羞~平時愛笑的我可是拍了不少露齒照,悔恨(咬手帕….)太晚吸收到牙齒美白資訊啦!

李醫師開始製作專屬的美白牙托,先取牙齒模型,以我看牙的經驗豐富,不得不誇獎李醫師動作輕巧溫柔捏~

美女護士幫忙擦拭殘餘的取模渣渣~美女護士服務加分~~~

YA~美白牙托好囉~李醫師教學居家美白的使用方式,操作超easy~先將美白牙托外側牙面擠上約一粒米大小的美白藥劑,千萬不要貪心一下擠太多,避免配戴時,藥劑溢出,造成牙齦變色敏感,不過李醫師有說就算手殘擠太多造成牙齦變色,也是很快就可以恢復的,聽到李醫師這樣說我就放心多了,還有臨時假牙及上下後牙倒數3顆皆不用塗抹藥劑,因為後牙在笑的時候是看不到的(省藥劑=省$),如果很講究要美白也是可以的喔~~~



美白牙托牙面會保留美白藥劑的空間,所以擠完藥劑後,雙手將牙托戴上,輕輕一壓,確認牙托與牙齒有貼合,藥劑均勻充填牙面即可!輕鬆配戴、取下,沒障礙~


美白牙托使用完畢後,要用清水及牙刷洗淨、甩乾,並放置在保存盒內,避免不小心丟掉,恩~對於迷糊的我超重要!也千萬不要刻意將牙托擦乾或烘乾,避免牙托乾裂喔~~~
美白藥劑對我來說還蠻溫和,在美白過程牙齒不太敏感,所以我都睡前配戴,早上才卸下,自從美白後早上刷牙是我最開心的時刻,將殘餘的美白藥劑刷除,看著一天比一天白的牙齒,忍不住在鏡子面前露齒smile~~~(撒花)

兩週後回診美白檢查,李醫師仔細端詳每顆牙齒美白後的狀況,以及幫牙齒再微美容一下~~~

OH~完美~驗收成果~再次比對顏色拍照~~~

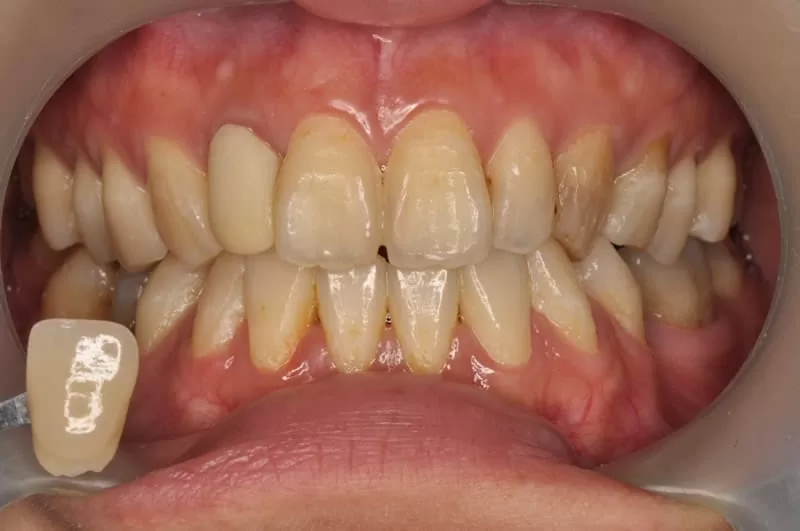
看著我的臨時假牙,和旁邊的齒色形成多麼強烈的對比,真高興我脫離黃板牙的行列,這幾天還因為上班太累沒做美白(偷懶)~不過已經達到自然牙最白(A1)的效果,所以李醫師說再認真的配戴一週,齒色還可以更進步喔!我要再加油,希望牙冠做好後,可以有一口自然又迷人的潔白牙~~~
複習一下 (美白前照片)


