全瓷牙解救牙周導致齒縫問題
患者主訴
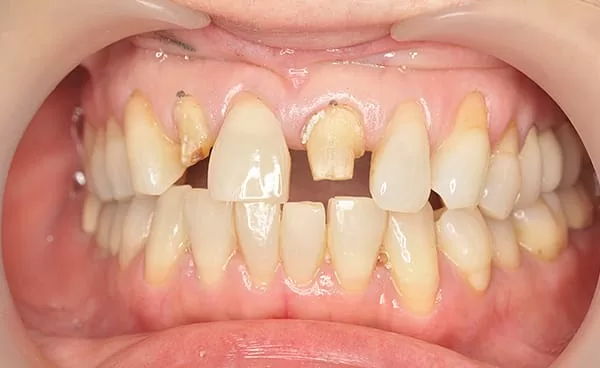
患者初次就診就是為了諮詢,因牙周病導致牙齦萎縮、牙根裸露造成的齒縫問題,以及原本假牙的顏色不夠自然,患者想藉由3D齒雕的技術,來解救門牙牙縫及齒色的不美觀。
醫師診斷與治療
- 患者右上側門牙與左上門牙
皆為金屬假牙套,牙齦邊緣也有點染色的問題。 - 右上門牙
因牙根裸露有使用樹脂稍為填補,但補綴物與原齒色還是有差別。 - 左上側門牙
有明顯的牙根裸露。 - 上排前牙因牙周病導致牙齦萎縮形成牙縫過大。
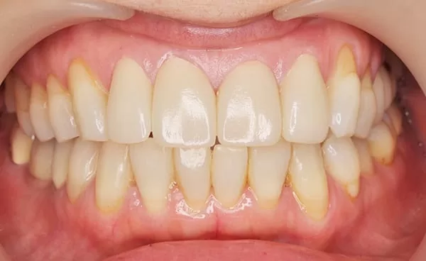
- 與患者討論後,採用3D齒雕全瓷冠治療,先將原假牙套拆除,四顆牙齒(箭頭所指) 修磨後,藉由3D取像技術,繪圖設計研磨,最後裝置調整!

治療前

治療中

治療後
患者的話
比我想像中的樣子漂亮太多了,因為牙周的關係,我不太敢照鏡子或是張嘴笑,就擔心別人看到我醜醜的牙齒,而且門牙黑黑的三角縫很像芝麻卡在上面,真的很謝謝醫師,接下來我還要努力工作,將其他牙齒也做成全瓷牙,希望有一天可以笑得更燦爛。


皆為金屬假牙套,牙齦邊緣也有點染色的問題。
因牙根裸露有使用樹脂稍為填補,但補綴物與原齒色還是有差別。
有明顯的牙根裸露。