把漏財的牙縫關起來
患者主訴
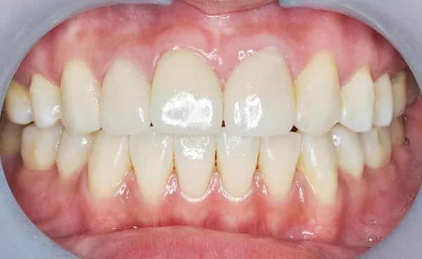
患者因為缺牙的關係,先前在其他診所矯正,卻因為矯正後未乖乖配戴維持器,所以導致門縫大開,患者不想再花時間矯正,所以在朋友推薦下,來到敦南麗緻牙科,諮詢如何把漏財相的牙縫給關起來;另外因為前牙反覆補綴樹脂,導致顏色深淺不一,所以患者決定好好向醫師諮詢解決的方法。
醫師診斷與治療
因為患者本身沒有意願再配戴矯正器,又考量前牙蛀牙面積較大,經過反覆補綴,牙齒外觀凹凹坑坑,有再蛀的狀況,所以建議患者製作3D齒雕全瓷冠,從右上側門牙至左上側門牙,共三顆。

治療前

治療後
醫師的話
患者想要儘快完成3D齒雕全瓷冠,恢復前牙的美觀度,因為3D齒雕技術的純熟,製作過程不僅快速且高品質,讓患者當天就開心的展現自信的笑容!
患者的話
醜醜的牙縫、醜醜的補牙,掰掰了~~~3D齒雕的技術讓我很驚艷,不僅速度快而且牙齒做的好漂亮,不用再重新配戴牙套,感謝醫師的看診技術,也謝謝我朋友的推薦~真是我生命中的貴人耶~~~

