拔牙填補骨膠原蛋白,骨質增生超神奇
患者主訴
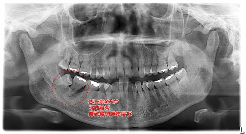
患者牙齒不舒服,右下大臼齒無法正常咬合,拖了一段時間才前來就診。
醫師診斷
經由X光片顯示,患者右下的第二大臼齒及第三大臼齒有一區黑影,董建華醫師透過3D電腦斷層,確定患者該區因牙周發炎導致骨頭嚴重流失,牙齒無法正常的咬合,判斷需拔牙,並因為骨頭破壞程度較大的關係,希望日後有足夠垂直向、橫向骨頭,來做人工牙根,所以建議患者可以補骨膠原蛋白,促進傷口癒合及骨質增生。
治療方式
局部麻醉下,進行牙齒拔除,並填置骨膠原蛋白後,縫合,等一週牙肉癒合拆線,三個月後,回診檢查骨頭狀況。

( 圖中:白色填充物為骨膠原蛋白及黑色縫線 )

( 治療前 )

( 治療後 )

( 治療前:X光片上呈顯黑色暗影 )

( 治療後:骨膠原蛋白轉換成正常骨頭,X光片上呈顯骨頭高度及緻密度回升 )
為什麼需要用骨膠原蛋白? 骨膠原蛋白容易置入拔牙齒槽窩洞內,海綿狀的彈性能充分填入傷口中,傷口約1-2週即可癒合,當拔除牙齒時,傷口部位置入骨膠原蛋白後,止血、減痛、加速傷口癒合效果立即顯現,另一方面促進本身齒槽骨再生,三個月後骨膠原蛋白被吸收取代,牙周結實美觀,無論是維持骨頭的外觀,或是進一步植牙都沒問題,基於這些優點骨膠原蛋白確實是個不錯的選擇。

