終於可以吃炭烤豬肋排,終於可以大笑了!
患者主訴
我的犬齒從小就很小,而且最近牙齒越來越搖,我已經好幾年沒有辦法用前面的牙齒啃東西了。肋排、雞腳、玉米、蘋果......舉凡要用啃的,我已經好幾年沒有好好吃過了!最近越來越嚴重,不小心咬到就在搖,真的很怕哪天忽然就掉下來!」
醫師診斷
患者於初次來門診時,僅有乳牙之犬齒殘根附著於牙齦上。經X光片檢查,患者右上的犬齒有先天性缺牙。

植牙術前全口環頸式X光片

植牙術後全口環頸式X光片
治療計畫及目標
- 拔除右上犬齒處之乳齒。
- 進行植牙第一階段人工牙根植入。
- 待骨整合後,進行植牙第二階段,癒合基座置入,以利牙齦塑型。
- 待牙齦成型後,進行植牙第三階段牙冠製作。

植牙前拔除乳牙後

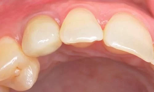
植牙假牙裝置後


醫師的話
患者本身來門診時,乳齒搖動度已相當大,僅殘根黏著於牙齦處,故並無任何咬合及飲食功能,對患者本身的生活造成了影響及困擾。且因乳牙本身型態過小、不佳並且搖動,以至於患者不敢露出牙齒笑,也間接影響了人際互動關係。
在植牙重建美觀及咬合功能後,對於病患來說,除了可以正常飲食之外,也對其自信心產生了極大的鼓勵。
患者的話
我只能說真的很謝謝醫師當初告訴我可以用植牙的方式來處理這個問題,是不是很漂亮呢?完全看不出來哪顆是植牙唷!我以前去家裡附近的診所,醫生都說要把我前後的牙齒磨小做假牙,但是我真的會捨不得!現在我不但保留了原本好的牙齒,還可以吃排骨!更敢大聲笑了!同事都說我變得很開朗!簡直是變了個人呢!

