你看得出來我有蛀牙嗎?
患者主訴
日前一位女性患者至診所求診,自述左上臼齒許多年前因蛀牙的關係有做了樹脂的補綴修復,前幾天在咀嚼中不小心有咬到類似小骨頭的硬物,感覺那塊補綴物被咬裂了,目前對於冷熱都非常敏感,希望能為其解決問題。
醫師診斷與治療
透過本診所的口內攝影及X-ray顯示,患者的左上第一大臼齒先前的樹脂填補物崩落,同時,第二小臼齒鄰接面之前所補的銀汞補綴物也已經產生二度蛀牙的問題。因為崩落的部分面積相當的大而且深,顧及齒髓神經的敏感性,經與患者討論後,先為其用暫時性補綴,觀察兩週,確定齒髓神經未受到任何感染及破壞,再針對這顆大臼齒及相鄰的小臼齒進行CEREC 3D齒雕全瓷補綴治療。 經兩週觀察,這兩顆牙齒在修磨之後,使用口內掃描取像及3D電腦的製作技術,即於當天完成CEREC 3D齒雕全瓷修復。
術前

口內掃描取像

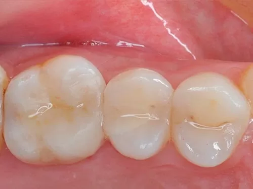
術後

3D 電腦製作

醫師的話
這個案例主要是有以下的意義:
(1)當有大面積及深度的蛀牙時,最好於第一次治療時,就能接受採用質地緻密而且與牙質本身密合度良好的材質,如此才能減少二度蛀牙的危險。
(2)目前由於CEREC 3D齒雕技術的發達,患者可於當天就完成修復,且不需接受暫時填充物在口腔內,等待製作的時間通常是3~5天,而造成牙齦的輕微性發炎。
患者的話
我真的很滿意自己的牙齒重建後的樣子ㄟ! (轉圈圈)
忍不住都開始自戀了起來,看看是不是很自然啊!根本恢復牙齒的原貌嘛! (哈哈)。
科技真的越來越進步了,以前就在想難道補蛀牙就沒有比較一勞永逸的方法嗎?
為什麼每隔一段時間就要重補呢?而且我就很害怕看牙齒啊!又不是做SPA.會讓人放鬆又舒服。所以每次都覺得百般的無奈 (搖頭)。現在我嘴巴裡面大範圍的蛀牙已經都更換成CEREC 3D齒雕囉!很值得也很開心。
醫師還叮嚀我,除了每天的口腔清潔保養之外,還要定期半年回診檢查跟洗牙,相信我的牙齒都可以很健康而且可以用很久。

