「磨牙症」與「國字臉」療法

現代人享受現代生活,但也無可避免地承受現代人常見的緊張、焦慮與挫折的生活環境。
搓磨自己的牙齒,如同嚼食口香糖一般,是一種釋放壓力的方法,許多人會在睡覺時磨牙,讓同室睡眠者驚醒,有的人則不會磨出聲音,但在早上睡醒時,兩頰的肌肉酸疼,甚至張不開嘴。
久而久之,不但牙齒會磨壞,遇冷水會酸,或有牙床骨突出,刷牙時容易碰撞牙床突起而受傷,有的人還會看到兩頰的咬肌變得肥大,形成『國』字臉。
夜間磨牙的原因很多,心理壓力之外,遺傳是另一個重要原因,牙齒有不良咬合關係也是個原因。但是不論磨牙是何種原因造成的,結果都讓人不舒服,酸疼是一回事,國字臉則是愛美的女性不能忍受的結果。
目前對咬肌肥厚的處理辦法,有漸退法與消除法兩種。
漸退法是藉著減緩咬牙、磨牙的發生,停止咬肌的過份活動而不使咬肌繼續變大,進而縮小,使用咬合板是常見的辦法。外科切除雖然較快,切薄咬肌及下顎角可以很快地消去下半臉部的方形,但是『開刀』的心理威脅及可能的風險,常使人怯步。
近幾年使用肉毒桿菌素 (Botuninum toxin) 注入咬肌使其功能減退的辦法,也是一種非開刀的消除法,這方法近年來的研究漸多,已日漸成熟,效果令人滿意,而且副作用很少。值得有這方面問題的人,尤其是女性參考。
肉毒桿菌素注射的效果是基於弱化的毒素可以將運動神經與肌纖維之間的電化學機制阻斷,使得運動脈衝減少,而使肌收縮強度降低,進而弱化咬肌的功能,咬肌功能弱化後,則依『用進廢退』的道理,使得肌體積縮小。

注射肉毒桿菌素的效果並不是永久的,因為被阻斷的部分會再生,阻斷的效果又會弱化,這時間長度一般約為四個月,換句話說,一次有效注射後四個月要再注射一次。另一個缺點是目前的注劑價格不低,長期使用所費不斐。不過就效果及風險性的考量而言,注射肉毒桿菌素不失為愛美女性可考慮使用的咬肌肥厚治療法。

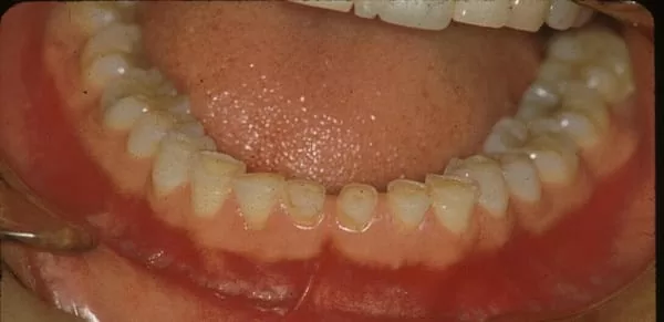
圖說: 磨牙者牙齒嚴重磨耗情形

圖說:以"顳顎關節咬合板"治療顳顎關節疼痛

圖說: 肉毒桿菌毒素注射劑產品之一

圖說:以皮針注射肉毒桿菌劑到肥厚的咬肌

