整合性牙齒美容 - 合併全口美白、蛀牙填補、牙齦微整形、全瓷冠
醫師的話
一個完美的治療,必須要考慮患者的微笑曲線,以及牙齒的黃金比例。因此常常需要合併多種治療方式, 才能達到良好的結果。

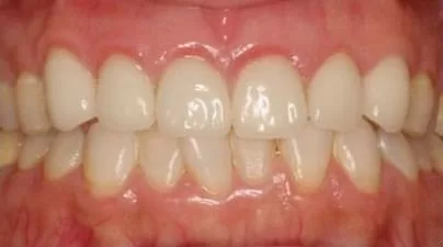
治療前:蛀牙嚴重、牙齒太黃、不對稱

治療後:牙齒整齊潔白、符合黃金比例
患者主訴
我已經35歲了,小孩終於去上學,這幾年為了小孩忙東忙西,疏於照顧我的牙齒,自己知道蛀牙很多,而且我覺得
牙齒很黃,門牙有缺角不好看,我希望能有一口潔白又好看的牙齒,也能擁有微笑曲線。
醫師診斷
- 這位小姐的口腔清潔不良、蛀牙嚴重、大門牙有缺角,牙齒天生較黃,牙齦線不對稱,6顆前牙不符合黃金比例,上面4顆門牙蛀牙太大已不適合用樹脂填補,必須做牙套。
- 另外,若要牙齒符合黃金比例又要有微笑曲線,則要合併全口美白、蛀牙填補、牙齦微整形及全瓷冠的製作才能完成。
診療過程
先強化口腔清潔及填補蛀牙,再進行全口居家美白。使用光纖雷射牙齦微整型,讓牙齦線對稱,最後製作6顆前牙全瓷冠使其符合黃金比例及微笑曲線。
治療前:

口腔清潔不良牙齒較黃、蛀牙嚴重、牙齦不對稱
治療後:

全口美白、牙齦微整形、全瓷牙套製作後牙齒整齊漂亮


療程結束:擁有微笑曲線,展現潔白健康的齒色、迷人的笑容
患者感想
醫師很有美學素養,而且經驗豐富,他看一眼就知道我的問題在哪裡。但是他治療不急躁,會跟我解釋我的問題在哪裡,以及討論各種優缺點。原本我打算製作上下各8顆全瓷冠,但是醫師卻建議我可以省下一半的費用,只做6顆全瓷冠和全口美白及牙齦微整形,就可以達到我的要求。治療完成後,我的家人跟朋友都說我的牙齒很自然,完全看不出來是假牙,說話跟微笑時很符合我的氣質。後來醫師告訴我,每個人的臉型、個性、說話及微笑時的各種表情,都會影響做完牙齒後給人的感覺。最後他根據我的條件,製作出獨一無二不是複製別人、適合我的牙齒型態。非常感謝醫師幫我省下一大筆費用,讓我擁有微笑曲線,現在我每天都笑得很開心,也才了解到原來一個人的個性與氣質竟然會影響到牙齒的選擇,每個人適合的牙齒形狀都不一樣!

