牙周病引發嚴重齒槽骨侵蝕與流失
患者主訴
25歲年輕女性因長期口氣不佳及刷牙時會流血,於三年前至診所諮詢牙周病問題,透過當時所做的全口牙周測量報告及數位X光片均顯示患者當時已患有嚴重牙周病,並告知應即刻積極治療。但由於患者長期於國外工作無法就診,拖延至今因牙齒搖動無法咬合,再次回診檢查。
診斷說明

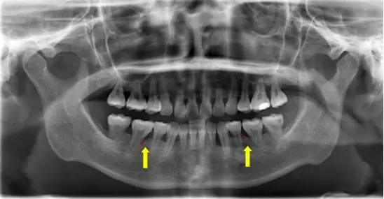
圖1: 當時第一次牙周病診斷的X光片
說明:X光片顯示牙齒齒槽骨侵蝕,患者齒槽骨已遭中度至重度侵蝕。(如箭頭所示)。

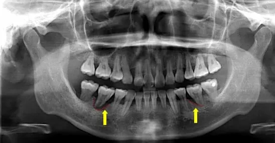
圖 2: 三年後再次牙周病診斷的X光片
說明:患者的牙周病拖延3年未曾治療,X光片顯示出患者牙牙齒齒槽骨已遭受嚴重侵蝕,齒槽骨的骨頭高度明顯比三年前降低許多(如箭頭所示),牙根的地基喪失,牙齒致使搖動不穩無法咬合。
牙周/植牙醫師小叮嚀
有牙周病患者不要忽視牙周病的治療,若持續拖延治療,牙周細菌持續地生長,齒槽骨被侵蝕的程度不可小覷,嚴重者則必需拔除牙齒。若能即早處理減輕輕牙周發炎,甚至進一步進行牙周再生手術,便能增加地基高度,延長牙齒使用壽命。

