牙周治療 -牙根覆蓋手術,讓牙齒不再酸敏感

 

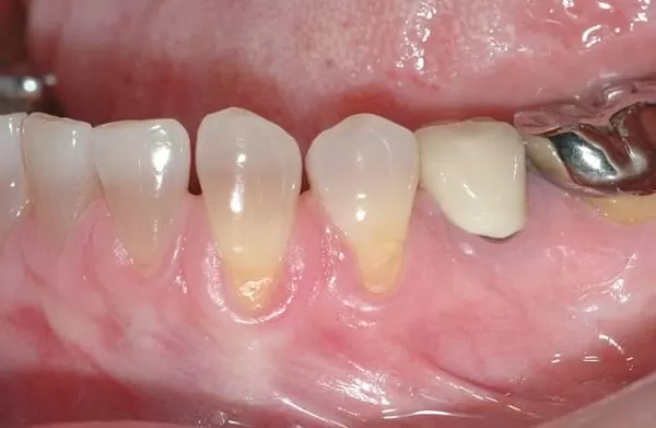
治療前

患者於下顎小臼齒區有酸痛敏感的症狀原因是因為偏好使用硬毛牙刷且用力過度造成牙齦萎縮,故改正其習慣並進行牙根覆蓋手術。

 

治療後一個月

原先酸痛敏感的症狀已改善,患處牙齦再生良好,牙齦的寬度厚度都顯著增加,可抵抗不當的外力傷害及細菌的侵犯。

 

( 圖1: 治療前)

( 圖1: 治療後一個月)

 

※以上案例皆為本診所醫師親自診療,未經同意請勿任意轉載及使用
本所療程皆由專業醫師評估後,依照個人口腔狀況,因每位患者個別狀況不同,治療後狀況也不盡相同,因此皆需親來本所由醫師評估診斷。
關閉