根管慢性發炎與根管鈣化之顯微鏡輔助根管治療
基本資料
33 歲 女性
患者主訴
1.之前根管治療過的左下臼齒牙齒會抽痛
2.牙齒在吃東西時會特別痛,且會有悶悶脹脹不舒服的感覺。
3.之前有根管治療過,不放心因此想找有顯微根管治療的診所。
醫師診斷
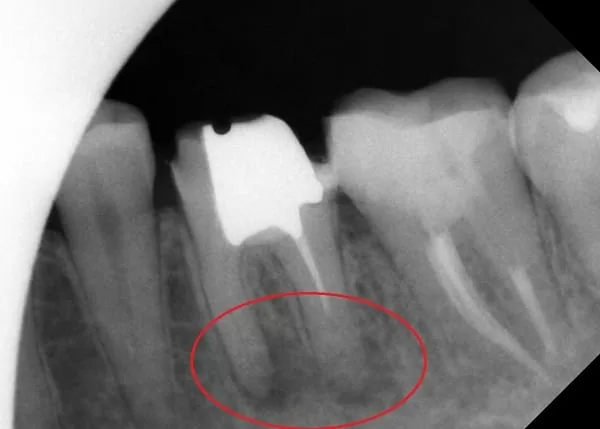
醫師透過根尖X光片、牙科3D斷層、高倍數顯微鏡詳細檢查後,給予以下診斷,

1.抽痛的主要來源並非已根管治療過後的左下第一大臼齒,而是左下第二大臼齒二次齲齒導致,且齲齒範圍已經靠近牙髓腔,因此導致患者自發性抽痛。(如上圖中紅色圈)
2.導致悶脹不舒服的主因則是已根管治療過後的左下第一大臼齒,之前的根管治療並未達到裡想的工作長度與寬度,殘留的牙髓神經組織並未清潔乾淨,導致根管慢性發炎且嚴重鈣化,細菌往下侵蝕並蔓延至齒槽骨,造成患者咬痛或悶脹感。(如上圖中粉色圈)
治療計畫與目標
1. 治療優先順序為先將會自發性疼痛的左下第二大臼齒進行顯微根管治療 (因蛀蝕範圍已經非常接近牙髓腔,所以清除蛀蝕區域後必須進行根管治療)
2. 開始治療後,發現此牙有三個神經管,且其中一個根管呈現較難治療的彎曲C狀,經過顯微鏡輔助根管治療後,三個根管皆已清潔乾淨並達到理想的工作長度與寬度。(如下圖)

3. 接著進行第一大臼齒的治療;首先,先移除原本的假牙冠,並透由X光片檢查牙根尖發炎狀況,發現近心和遠心牙根尖皆受到感染而呈現慢性發炎。

4. 因患者根管鈣化嚴重無法正確定位路徑,需配合超音波將鈣化物質震盪移除,並不斷沖洗根管死角,清潔發炎根管,以便正確定位根管路徑,並將鈣化根管通至根尖。

5.最後,醫師搭配使用法國的Lokki Nd:YAP牙科專用雷射輔助治療,將根管有效高溫殺菌,並配合顯微鏡將根管空間緻密地封填起來,並完成左下第一大臼齒的根管治療。
下圖中可發現,根尖發炎擴散至齒槽骨的狀況,在兩個禮拜內就已獲得有效控制且有改善。


