高倍數顯微鏡設備在根管治療所扮演的重要角色
基本資料
44 歲 女性
患者主訴
1. 已做過一般健保根管治療的牙齒,但仍有不明原因的抽痛感覺。
2. 產生咬痛的問題,導致無法進食
3. 不解為何已經做過根管治療,不是已經沒有神經怎還會疼痛?
4. 患者回原治療診所,因診所無高倍數顯微鏡設備可針對未提做更進一步治療,因此醫師建議將牙齒拔除並進行植牙治療。
5. 難道只能選擇先拔牙再植牙? 或是有其他的治療選擇呢?
醫師的話
一般病患的後牙牙齒根管,有時天生長得非常細小,有時會是呈現彎曲的C型,且這些根管間的都有狹小相連通道,因此容易因為牙髓壞死時,未能於第一次治療時就做到徹底清創,而造成之後的根管嚴重鈣化。此類型的根管, 如未使用高倍數顯微鏡輔助治療,有時較不易完全通至根尖,相對就較容易產生後續根管的問題,例如較常看到的根尖發炎等,嚴重者甚至須做根尖切除術。
已經做過根管治療的牙齒,因再次發炎等因素,導致根管治療必須重頭來過,此時醫師須先將之前做的假牙冠先行拆除,才有辦法再次進行顯微根管治療,最後再 重新製作一個假牙冠,等於是整個根管治療的療程要重新來過,對患者而言無疑是個心理和生理上負擔,因此如何在第一次就把根管治療做的確實且到位,除了需要醫師豐富的臨床經驗外,高倍數顯微鏡在此時也相對扮演了非常重要的輔佐角色。
醫師診斷
醫師使用高倍數萊卡顯微鏡進行顯微根管評估後,提出以下診斷

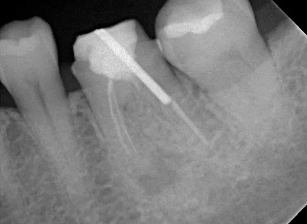
1. 近心舌側的根管(圖中1.),為之前根管治療時,因根管彎曲未能即早判讀,造成根管器械斷裂
2. 因器械斷裂,導致無法有效完整的進行根管治療
3. 近心側的根尖區域(圖中2.),因持續受到慢性發炎刺激也已鈣化,導致無法順利通至根尖
4. 因以上因素,根管皆未能做到理想工作長度和工做寬度,殘留的壞死牙髓未能清潔乾淨,導至根尖開始發炎,甚至細菌蔓延往下侵蝕並感染齒槽骨,因此造成患者的咬痛感以及其他不適(圖中3.)
治療計畫與目標
遠心的牙根並無發炎狀況,因此無須再次治療,本次治療主要針對近心的兩個牙根做顯微根管治療。
1. 去除原假牙冠,使用高倍數顯微鏡輔助根管治療,移除舊有根管填充物。

2. 針對鈣化的根管,藉由顯微鏡的輔助,重新定位原始根管的正確路徑。

3. 將因鈣化而阻塞的根管,配合超音波的震盪移除鈣化物質,並沖洗根管死角,最後一步步確實地將鈣化的根管通至根尖,並放藥緩解根尖發炎狀況。
(備註:鈣化的根管如未使用顯微鏡輔助,容易導致定位偏移,進而影響之後的相關治療)
4. 針對有根管器械斷裂的根管,先將上方根管擴大,再配合超音波用By Pass的方式越過斷裂器械,達到理想根管工作長度後,重新清潔發炎根管。

5. 搭配使用法國的Lokki Nd:YAP牙科專用雷射輔助治療,將根管做到有效的高溫殺菌,並配合顯微鏡將根管緻密地封填起來,並重新完成根管治療。

顯 微 根 管 治 療 前

顯 微 根 管 治 療 後


