牙根內吸收,該如何治療?
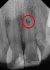
牙根吸收(Internal resorption of root of tooth)一般分為牙根內吸收及牙根外吸收,可由根尖X光片區別診斷。
患者主訴
患者左側門牙牙根經由X光片檢查後發現牙根內吸收的狀況, 造成牙根內部的齒質破壞。

醫師診斷與治療
由於牙髓內部產生不規則的破壞,所以利用顯微鏡探照根管內部,以利做完善的根管清創,將細微死角徹底清潔。

根管插針先測量根管長度,以利完全的封填 根管封填
根管治療前與治療後比較
由於牙髓內部產生不規則的破壞,所以利用顯微鏡探照根管內部,以利做完善的根管清創,將細微死角徹底清潔。

牙根內吸收是因為外傷或其他不明原因造成牙髓本身發生病變,而造成根管壁齒質的吸收。
因牙根內吸收的病人通常在臨床上大多無症狀,經常是在常規X光檢查時意外發現,所以此類牙齒不易獲得適切的照顧,治療時需要使用顯微根管處理,才可防止根管壁吸收的情況。

