植牙成功關鍵,要美觀更要兼顧穩定性!!

患者主訴
我的右下第一大臼齒一直以來牙縫會塞食物,而且常常有臭味、刷牙會流血。
這狀況深深困擾著我好久...超久的... (>﹏<)
醫師診斷
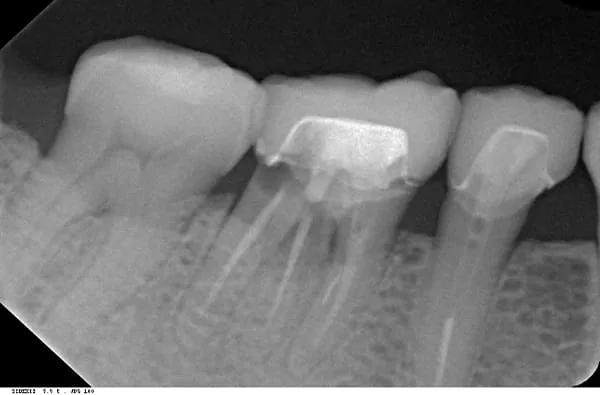
記得那天看診---醫師經由臨床上X光片仔細檢查後,發現我的這顆牙已經有牙周病的破壞,並且在牙齦下面的牙根也有蛀牙。
我同意拆掉舊有的牙套後發現 : 不只是蛀牙,而且已經蛀蝕太深,齒質已經鬆軟,無法再製作一個新的牙套。
為精確的診斷,還幫我拍攝3D斷層掃描後,確定它真的無法使用了,只能忍痛決定拔牙後再植牙。
診療過程
謝醫師說 : 這顆牙齒拔掉後,建議先充填骨粉及再生膜,施行牙嵴保存術,保留牙嵴的寬度及高度,以便將來有好的骨質條件進行植牙。
所以等約四個月後植牙,再等待三個月以新科技的植牙穩定度測量儀測量骨整合程度,發現骨整合情況良好,隨即以"臨時牙套"進行牙齦塑型,再製作全瓷冠恢復我的咀嚼功能。

X光片顯示已有牙周病及牙根蛀牙~汗( ̄口 ̄)!!

經牙嵴保存術後再植牙,醫師說:這就是"植牙癒合帽"周圍牙嵴豐隆度很好~ (# ̄▽ ̄#)


細心的醫師先在石膏模型上模擬製作植牙全瓷冠給我看~




這一天我的新牙齒終於要『入厝』了~~~
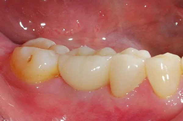
醫師將全瓷冠裝裝到我的牙齒裡面,你們看~根本就像是我原來的牙齒一樣嘛~~
上下牙齒對咬的關係好自然喔,既不易塞食物,咀嚼使用起來非常舒適喔!
我只能說真的真的太佩服了
現在左右兩邊吃東西都輕鬆自在的不得了,謝謝敦南麗緻牙醫診所。
附註 : 植牙穩定度測量儀


在全世界已經發表了超過140篇科學報告與研究有關牙科植體穩定度的測量對植牙成功的重要性。
如需要了解更多,請參考Osstell網站, www.osstell.com

