騎車意外摔斷牙,植牙讓我重拾笑容

 

患者主訴

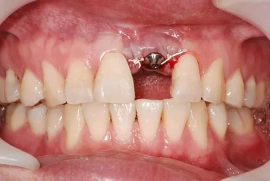
患者於上班途中騎機車摔倒,前門門牙斷裂。

 

騎車意外摔斷牙,植牙讓我重拾笑容

治療前

騎車意外摔斷牙,植牙讓我重拾笑容

傳統假牙牙橋示意圖

 

前牙缺牙時,傳統做法是將左右兩邊牙齒磨小,做成一組牙橋,對於原本兩邊自然齒質的破壞極大,經醫師評估後,建議患者可選用植牙方式,重新建立前牙的美觀與咬合。

 

騎車意外摔斷牙,植牙讓我重拾笑容

治療中

騎車意外摔斷牙,植牙讓我重拾笑容

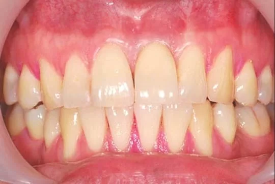
治療後

 

※以上案例皆為本診所醫師親自診療,未經同意請勿任意轉載及使用
本所療程皆由專業醫師評估後,依照個人口腔狀況,因每位患者個別狀況不同,治療後狀況也不盡相同,因此皆需親來本所由醫師評估診斷。
關閉