我快要結婚了,想要一口潔白的牙齒
患者主訴
我快結婚了,但未婚妻對我的一口黃板牙非常不滿意,她說我的牙齒變整齊潔白了才能拍婚紗,所以我希望牙齒能變白。
醫師診斷與治療
牙齒本來就比較黃,左邊門牙因為做過根管治療,所以顏色變得更黃,加上晚上睡覺會磨牙,所以4顆門牙都被磨短了,門牙切端變成波浪狀而且有缺角。若要牙齒整齊潔白,除了全口美白外,還要製作4顆門牙全瓷冠以及夜間磨牙護套,才會有效果。

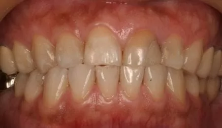
美白前:齒色為A4,而且有蛀牙及門牙缺角

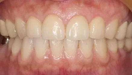
美白後:齒色為A2,搭配4顆門牙製作全瓷冠看起來牙齒整齊乾淨又潔白。
患者的話
我因為牙齒太黃了,所以平常就不想看它,反正沒救了蛀牙也沒關係。直到未婚妻下最後通牒帶我去敦南麗緻牙醫診所,我才硬著頭皮接受治療,沒想到效果出奇的好。而且戴了夜間磨牙護套一年後,我太太說,我磨牙的情況減輕很多,不再吵她睡覺了,也是意外的收穫!

