四環黴素造成黃板牙,牙齒美容展現亮麗齒色

 

患者主訴

試過各種牙齒美白方法,但因天生遺傳影響,加上後天輕微四環黴素的作用,所有美白方法的改善有限,以冷光美白改善,大大改變原來的齒色。

四環黴素造成黃板牙,牙齒美容展現亮麗齒色

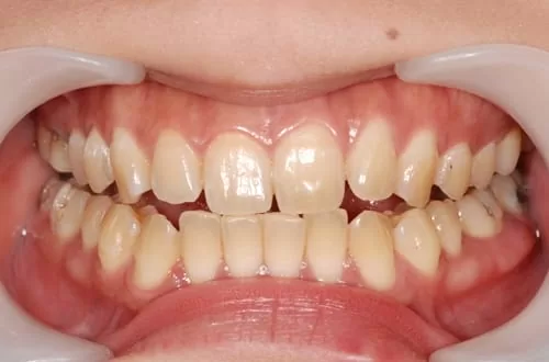
圖一美白前:因為牙齒黃,只敢掩口笑,想要笑開懷。

四環黴素造成黃板牙,牙齒美容展現亮麗齒色

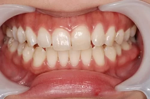
圖二美白後:經過美白後,整個就是判若二「齒」。

 

※以上案例皆為本診所醫師親自診療,未經同意請勿任意轉載及使用
本所療程皆由專業醫師評估後,依照個人口腔狀況,因每位患者個別狀況不同,治療後狀況也不盡相同,因此皆需親來本所由醫師評估診斷。
關閉