全瓷假牙修復的挑戰,呈現自然牙般完美齒色

醫師說明
前牙單顆牙冠,因為要完全配合左右自然牙的形態及顏色等情況,故困難度往往比對稱的多顆牙冠高出許多,也是臨床治療上極具挑戰的部分。
患者主訴
患者為外商企業女性高階主管,側門牙牙套使用金屬烤瓷牙套並且製作年代久遠,導致牙齦邊緣透露出明顯的金屬黑色,尤其是在右側門牙上緣區域,患者覺得露出牙齒感覺好像食物殘渣卡在牙齦上,在職場與人際溝通上影響個人整體形象與美觀。由於使用金屬烤瓷牙金屬邊緣外露,假牙顏色死白不自然與左右牙齒有明顯的色差,假牙內部金屬不僅將牙齦染黑,經使用數年後牙齦發炎、紅腫,病患對這些因素感到相當困擾,於是來診諮詢側門牙假牙問題。
醫師診斷與治療
經贋復假牙專科醫師診斷,由於長期使用金屬烤瓷牙套,金屬外露將牙齦染黑也導致牙齦發炎、紅腫等狀況,建議患者改為CEREC 3D齒雕全瓷牙冠。
治療方式如下
第一階段,先拆除舊金屬烤瓷牙套,並用雷射輔助治療牙齦紅腫發炎的情況。
第二階段,使用雷射幫牙齦稍做塑形,讓牙齦弧度美觀。
第三階段,待牙齦恢復狀況良好,裝置CEREC 3D齒雕全瓷牙冠。
使用CEREC 3D齒雕全瓷牙冠無論在美觀,協調性,自然度,牙齦弧線及健康等方面都有著極佳的表現,同時解決患者困擾多年的問題,患者也重拾以往開心自然的笑容,在職場上也更有自信與人溝通侃侃而談。

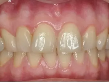
治療前: 舊牙套為金屬烤瓷牙,已露出黑色金屬邊緣經發炎、紅腫。
治療後: 使用CEREC 3D齒雕全瓷牙冠,牙套顏色自然牙齦也恢牙齦也已恢復健康。

