全瓷牙齒美容 ,讓我擁有整齊潔白的牙齒、迷人的笑容
患者主訴
我的右上門牙外翻又比較長,下面門牙牙縫很大,有時候講話會噴口水,而且牙齒很黃笑起來不好看,我希望能有一口潔白又好看的牙齒。


診斷說明
這位小姐的牙齒天生較黃,牙齦線不對稱,下面4顆門牙牙縫很大,右上門牙外翻,兩側犬齒很尖;一口黃板牙及牙齒形狀不對稱,讓他笑起來沒有女性的柔美。因此必須先做全口美白,再依其臉部外型、氣質選擇適當的牙套形狀,就能擁有迷人、柔美的笑容。
診療過程
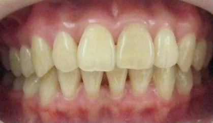
治療前

牙齒太黃、犬齒很尖、牙縫太大。
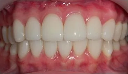
治療後

牙齒整齊潔白、擁有微笑曲線。
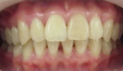
治療前

牙齒形狀不佳導致下排牙縫太大,牙齦萎縮,講話漏風。
治療後

牙齒比例完美,牙齦線對稱,不再有牙縫。

