全瓷牙齒美容 - 讓我再次開懷大笑
患者主訴
我和我的朋友都不喜歡看牙醫,但是最近我的門牙牙套越來越不好看,而且刷牙會流血;我的朋友門牙補得非常不好看,他平時都不敢開口笑、很僵,而且每天刷牙都會流血。
於是我們經朋友介紹,鼓起勇氣來敦南麗緻牙醫診所,希望我們的門牙能漂亮又健康。

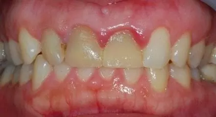
A小姐治療前

B小姐治療前
醫師診斷
這兩位小姐的牙齦都嚴重發炎,所以刷牙才會流血,一位是因為門牙牙套已經不密合,另一位是因為填補物太久沒更換,造成牙結石堆積導致牙齦發炎。另外,兩位牙齒都較黃、牙齒形狀不好看。只要先做全口美白,再製作全瓷冠,就能擁漂亮又健康有牙齒。
診療過程
A小姐

治療前:傳統牙套露出黑邊、牙齦發炎

治療後:牙齒整齊潔白、牙齦恢復健康
B小姐

治療前:樹脂填補變色難看、牙齦發炎

治療後:牙齒整齊潔白、牙齦恢復健康

治療前:門牙不好看,不敢開口笑

治療後:整齊潔白的牙齒,讓氣質加分

