超自然全瓷美容貼片,拯救了我車禍後的門牙
患者治療後感想
我當時撞斷門牙時,真的是嚇死了,心想天阿~ OH~My God! 要把門牙治療好不知道要花多少時間? 而門牙受傷也整個打亂了我的工作與生活,說老實的,我當下真的是慌到都不知道該怎麼辦是好。
不過幸好找到了敦南麗緻牙醫診所,診所擁有來自德國的3D齒雕設備,讓我可以當天完成門牙的修復,當天給我美美的門牙貼片,重點是門牙超級自然的!!! 而且我身邊的朋友都看不出來哪顆是假牙,哪顆是真牙呢~ 我都可以跟朋友玩猜猜看了^^ 真的很感謝敦南麗緻的醫療團隊,新的CEREC 3D齒雕設備與技術,真的是造福了很多人~
患者主訴
患者因車禍意外導致兩顆門牙撞斷受損,開口講話都需要遮遮掩掩,更不用說自信展現笑容了;透過網路相關資訊,患者看到本診所引進德國CEREC 3D齒雕的設備與技術,因此來本診所尋求3D齒雕美容貼片的協助,希望可以在當日完成美容貼片的療程,讓她可以盡快恢復開心笑容。

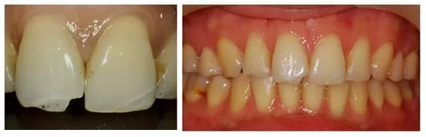
以上照片是患者來到診所時的樣子,右側門牙是切端撞斷,已影響咬合,左側門牙則是撞裂且裂痕非常明顯。
醫師診斷與治療
經詳細檢查後,醫師診斷兩顆門牙並未傷及牙髓神經,且僅切端受損,因此診斷患者無需抽神經,可直接當日進行美容貼片的療程,完成門牙的修復,還患者一個美麗自信的笑容。

首先,醫師先將患者的牙齒進行微修型,也就是移除斷裂及受損的部分牙齒

接著直接在診間進行數位口內取像,並由牙醫師和駐診的牙技師現場完成設計與研磨。

醫師依患者牙齒本身的條件,選擇漸層色的瓷塊,並於研磨完成後,直接再患者進行試戴並再客製化染色上釉。

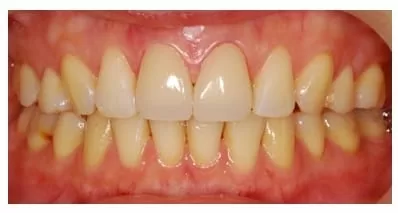
最後,於當日完成全瓷美容貼片,順利地幫患者於一日內 "美牙改造大成功" !!

