開口大門縫,要怎麼救?
現代人忙碌地工作,日常生活中卻疏忽了自己的牙齒。大多數人缺牙不補,或小時候疏於照顧,日子久了,一張開口就看到大牙縫,或參差不齊的牙齒不僅影響美觀,也讓自己感到失禮沒面子。尤其在人相學中,門縫過大及缺牙皆是會造成漏財的面相。
使用CEREC 3D 齒雕貼片來修補門牙門縫過大,是相當快速又方便的方法。
案例照

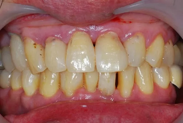
治療前: 門牙縫靠樹脂補起,非常不美觀且不整齊

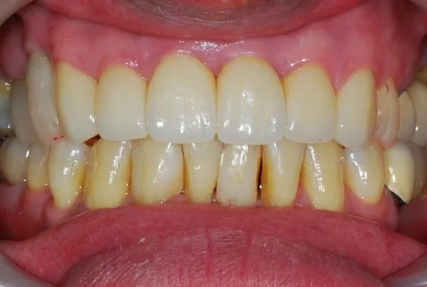
治療後: 用3D齒雕補門牙,齒列更整齊,牙齒更美觀
現代人忙碌地工作,日常生活中卻疏忽了自己的牙齒。大多數人缺牙不補,或小時候疏於照顧,日子久了,一張開口就看到大牙縫,或參差不齊的牙齒不僅影響美觀,也讓自己感到失禮沒面子。尤其在人相學中,門縫過大及缺牙皆是會造成漏財的面相。
使用CEREC 3D 齒雕貼片來修補門牙門縫過大,是相當快速又方便的方法。

治療前: 門牙縫靠樹脂補起,非常不美觀且不整齊

治療後: 用3D齒雕補門牙,齒列更整齊,牙齒更美觀