四環黴素造成黃板牙影響美觀,3D齒雕美白貼片 重建自信笑容
患者主訴
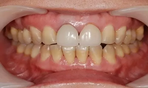
少年時期長期服藥,因藥物中的「四環黴素」造成牙本質被破壞,讓牙齒變黃,影響牙齒美觀。

圖一:患者上排門牙是來診前就做的假牙二顆(中央較白牙齒),與因受四環黴素影響的黃牙並列,顏色差異大,且更突顯了黃牙的不美觀。

圖二:完成後。因經濟與美觀層面上的考量,與患者討論後,其選擇以『微笑時露出的齒面範圍』做牙齒美容,也就是重做門牙的假牙,並在左右各做三顆美白貼片,下排則做八顆美白貼片,統一了色澤,看起來跟真牙一樣,美觀與實用兼具。
少年時期長期服藥,因藥物中的「四環黴素」造成牙本質被破壞,讓牙齒變黃,影響牙齒美觀。

圖一:患者上排門牙是來診前就做的假牙二顆(中央較白牙齒),與因受四環黴素影響的黃牙並列,顏色差異大,且更突顯了黃牙的不美觀。

圖二:完成後。因經濟與美觀層面上的考量,與患者討論後,其選擇以『微笑時露出的齒面範圍』做牙齒美容,也就是重做門牙的假牙,並在左右各做三顆美白貼片,下排則做八顆美白貼片,統一了色澤,看起來跟真牙一樣,美觀與實用兼具。