前牙牙縫過大,3D齒雕瓷貼片 恢復自信與光采笑容

 

醫師診斷與治療

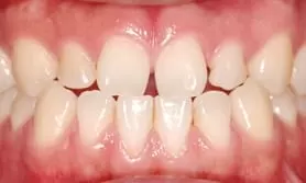
此患者因為門牙先天性小牙症,導致齒間縫隙過大(圖1, 2)。
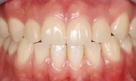
經詳細檢查後,幫患者製作4顆前牙3D齒雕瓷貼片,不僅恢復美觀、擁有自信的笑容,講話也不再”漏風”了(圖3, 4)。

 

前牙大牙縫,3D齒雕恢復自信與光采

(圖片1: 治療前正面觀)

前牙大牙縫,3D齒雕恢復自信與光采

(圖片3: 治療後正面觀)

 

前牙大牙縫,3D齒雕恢復自信與光采

(圖片2: 治療前微笑觀)

前牙大牙縫,3D齒雕恢復自信與光采

(圖片4: 治療後微笑觀)

 

※以上案例皆為本診所醫師親自診療,未經同意請勿任意轉載及使用
本所療程皆由專業醫師評估後,依照個人口腔狀況,因每位患者個別狀況不同,治療後狀況也不盡相同,因此皆需親來本所由醫師評估診斷。
關閉