門牙不再有黑邊框,3D齒雕全瓷牙套,幫助患者呈現自然的貝齒

 

患者主訴

上顎大門牙的假牙套為傳統金屬烤瓷牙套,齒頸部易有金屬黑邊產生,非常不美觀 (圖1)。

 

診斷與治療

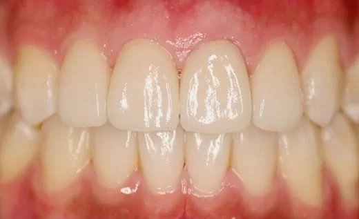
醫師建議更換成CEREC 3D齒雕全瓷牙套後,不再有金屬黑邊露出,並且呈現自然齒色,邊緣牙齦也非常健康(圖2)。

 

3D齒雕全瓷牙套,恢復牙齒的美觀

(圖片1:治療前)

3D齒雕全瓷牙套,恢復牙齒的美觀

(圖片2:治療後)

 

※以上案例皆為本診所醫師親自診療,未經同意請勿任意轉載及使用
本所療程皆由專業醫師評估後,依照個人口腔狀況,因每位患者個別狀況不同,治療後狀況也不盡相同,因此皆需親來本所由醫師評估診斷。
關閉