骨質條件好,微創植牙沒問題!
患者主訴
患者長時間都在國外工作,忙碌的關係無法定期口腔檢查,因為太太在敦南麗緻牙醫就診,極力推薦先生預約初診口腔健檢,另外針對缺牙問題做相關諮詢。
醫師診斷與治療
患者就診檢查並清除牙結石,因為沒有定期洗牙,所以結石堆積較多,清除後,應配合平常刷牙保健,可改善慢性牙周炎情形,另外慣性抽菸嚴重影響口腔健康,所以建議採用噴砂改善菸垢的堆積,此外左下第二大臼齒拔除已經一段時間,患者先前有植牙經驗,醫師也建議患者考慮植牙來恢復其咬合功能,經3D電腦斷層掃瞄評估後,患者骨頭條件良好,適合“微創”植牙。
- 拍攝3D電腦斷層,進行植牙評估。<圖一>
- 入人工牙根(進行植牙第一階段及第二階段)。<圖二~圖五>
- 回診檢查植牙第二階段,醫師判斷是否可以進行第三階段。
- 植牙假牙完成(完成植牙最後階段)。<圖六~圖七>

斷層掃描-植體.神經管…模擬 <圖一>

植牙前 <圖二>

植牙第一階段 <圖三>

植牙第二階段完成 <圖四>

第二階段完成X光片 <圖五>

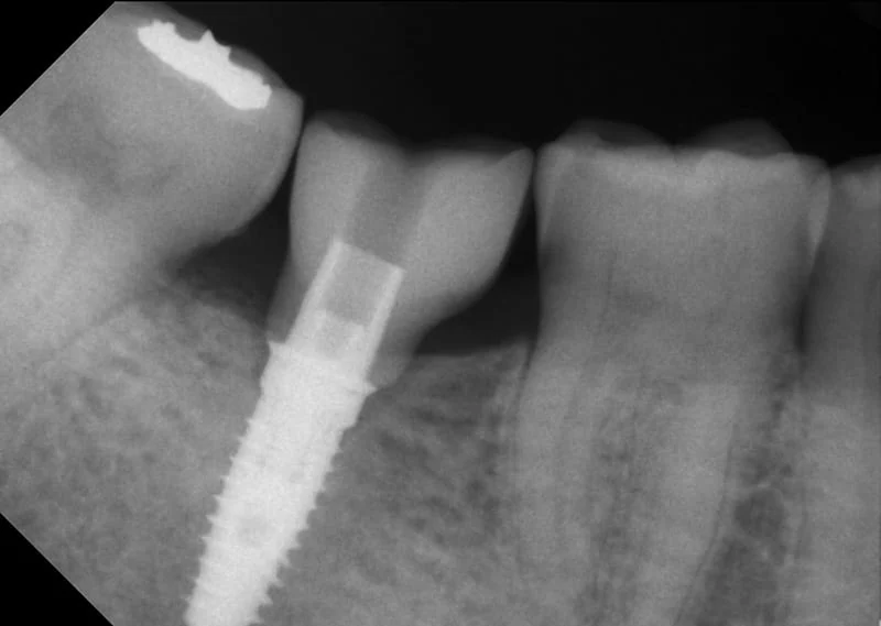
植牙假牙裝置完成 <圖六>

植牙假牙裝置完成X光片 <圖七>
醫師的話
拍攝3D電腦斷層,經過專業評估,提升植牙的成功率,能帶給患者更安心的植牙選擇,擺脫以往患者對於植牙半知半解的恐懼,像這名患者從3D電腦斷層判斷後,骨質條件佳,全方位評估後,決定採用微創植牙,所以只要條件允許,微創植牙沒問題!此外每半年除了定期洗牙檢查,針對植牙也會特別做牙菌斑檢測,重要在於提升患者口腔清潔的習慣,避免影響植牙的穩定性。針對患者慣性抽菸,也會依患者的習慣,調整對患者的口腔照護。畢竟口腔維護的好,植牙才能更有保障!

