金屬嵌體再蛀,CEREC 3D齒雕全瓷補綴沒煩惱
患者主訴
青少年時期因為蛀牙,選擇金屬材質補綴牙齒,後來和別人聊天時,發現對方的目光很容易注目在黑亮的牙齒而感到害羞,雖然補綴的位置在後牙,但因為在乎自己的外表,所以希望可以把金屬嵌體去除,更換新技術的CEREC 3D齒雕全瓷補綴。
醫師診斷與治療

(圖一)

治療前

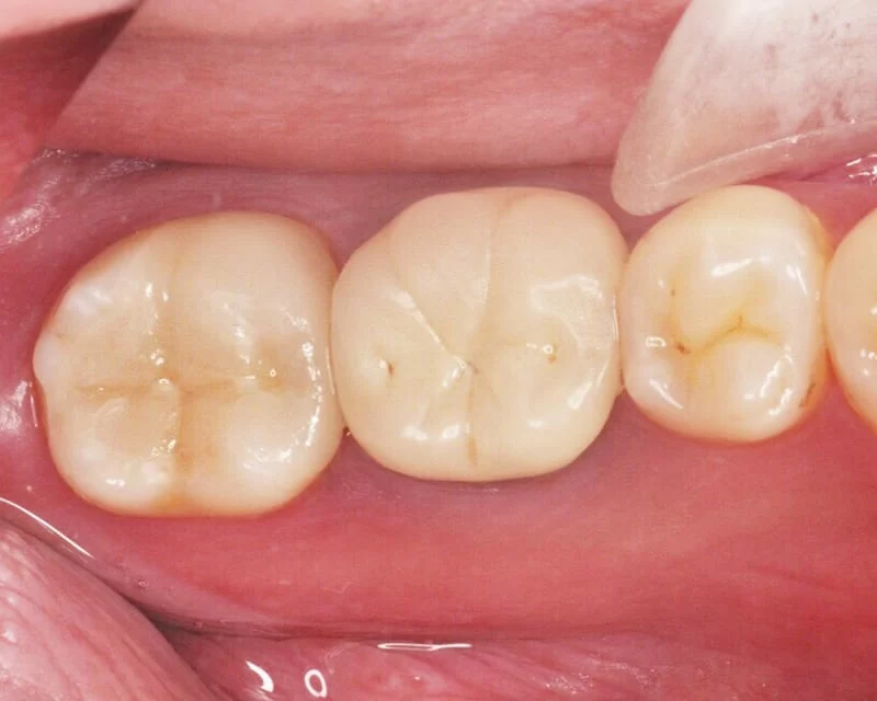
治療後

口內掃描取像

3D電腦製作
X光片顯示(圖一),大面積金屬嵌體補綴下,還有再次蛀牙的情形,患者因為美觀的考量,想要將金屬嵌體換掉,對於患者咬合大面積的補綴,又有再次蛀牙情形,所以初步建議患者在去除金屬嵌體及蛀牙面積後,在沒有影響到牙髓腔(牙神經)的狀況下,做CEREC 3D齒雕全瓷補綴,既能達到美觀的呈現,又能恢復牙齒的健康。
- 先將右下第二大臼齒的金屬嵌體去除。
- 將二度蛀牙的部分清除乾淨,確定齲齒沒有深入影響到牙髓。
- 清除乾淨的窩洞底部,塗上保護齒髓的藥劑。
- 進行CEREC 3D齒雕口內掃描,經由電腦設計、繪圖及研磨。
- 裝置CEREC 3D齒雕全瓷補綴及調整。
患者的話
謝謝醫師的治療技術,因為長期人在國外,回台灣的時間有限,CEREC 3D齒雕全瓷補綴製作時間非常的迅速,本來還擔心看牙是不是要花很多時間,結果從開始清牙齒到裝好,當天就完成了!原本只是想要牙齒好看,沒想到發現牙齒又再蛀牙,意外拯救了牙齒的健康!

