植牙前,您不可不注意的小細節!

早期缺牙一般僅能選擇做牙橋的方式來補足缺牙牙齒的咀嚼及維持美觀的功能,且缺一顆牙齒要建立牙橋需要將旁邊2側自然牙齒破壞磨小才能重建,這是許多人不樂見的治療方式。

(圖1) 傳統平面X光片無法顯示立體的影像
隨著國人口腔衛生意識抬頭及國外人工植牙的成功與進步,近年來台灣接受人工愈多,但傳統平面X光片無法顯示立體的影像(圖1),不足以精準判斷缺牙位置的骨質寬度及密度,所以植牙前皆需拍攝電腦斷層( Computerized Tomography,簡稱CT),CT讓醫師能準確判斷及評估,是牙科極具代表性,卻也是相當昂貴的設備之一,目前也不是每家診所都能有此項設備。
一、拍攝口腔電腦斷層CT對醫師及病人的優點

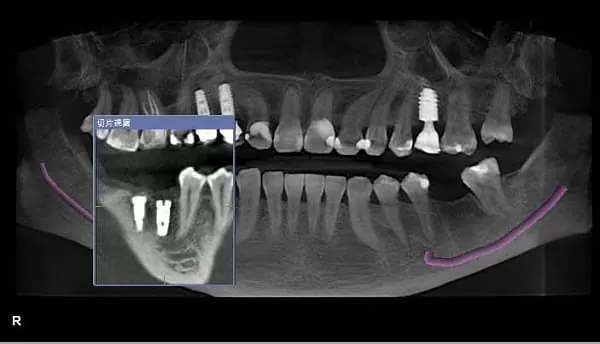
(圖2)橘色虛線為模擬放入植體的適當位置
對於植牙醫師而言,CT的便利性,即是具有模擬植體植入的功能(圖2)。因為每位患者的顎骨結構不同,為了因應病人口腔現況及符合牙齒對應的咬合功能,植牙醫師需考量在術前判斷植體植入的位置是否恰當,由於CT所拍攝出來的影像是立體的,可以360度旋轉(圖3),可進一步判斷齒槽骨的骨質及植體植入的寬度與深度以避免植牙常見的問題案例:上排植體穿過鼻腔造成鼻竇破裂或是下排植體不小心碰到齒槽骨神經,可能造成半邊臉麻痺等問題發生(圖4)。所以進行拍攝「口腔電腦斷層CT」也是對患者進行植牙手術的安全與保障。

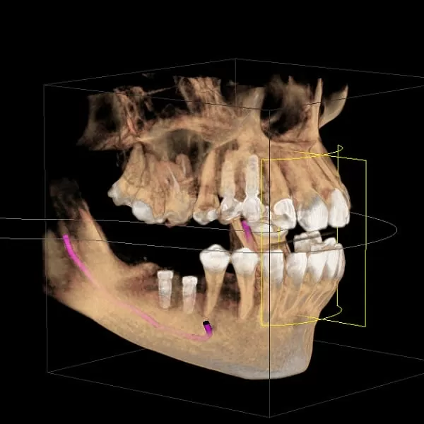
(圖3) 3D立體影像清楚呈現牙齒與口腔狀況

(圖4) 3D全口影像,可清楚呈現下顎神經管,紫線表示神經管
二、3D電腦斷層以下簡稱CT與傳統X光片在植牙前的判讀上有何不同?
植牙前在「口腔狀況的判讀」是非常重要的,傳統平面全口X光片簡稱PANO,它們「只能顯現平面影像,無法展示口腔狀況的切面與橫斷面,容易造成骨質與骨量判讀上的誤差。CT則是呈現3D影像,並且有一個專屬的視窗(圖5),可以很清楚地往舌側的方向橫切過去,讓橫切面全部顯現出來。當醫師在與病人解說時,可以移動視窗顯示病人骨質的寬度及神經管的位置,另外可置入虛擬植體圖示(圖6),讓病人更清楚明白醫師的解說以及要為他植牙的位置及角度。

(圖5) CT呈現3D影像,醫師講解時可移動視窗顯示病人骨質的寬度及神經管的位置

(圖6) 置入虛擬植體,模擬適當的植牙位置
您有植牙的需求嗎?
任何關於人工植牙的問題,都歡迎您來電預約諮詢 - 讓大台北植牙診所推薦 - 敦南麗緻專業的植牙專科醫師為您解惑!

