食物、抽菸留下的色素和汙垢 洗牙洗得掉嗎?
患者主訴
上一次洗牙是一年多年了,有一些牙結石。除此之外,過幾天將要參加孫子幼稚園的畢業典禮,想順便去除長期抽菸所留下的菸垢,加上家裡是種桑椹的,常吃桑椹而有些色素汙垢,希望能夠一併去除,讓我的牙齒看起來乾淨潔白。
醫師治療計畫
經門診檢查後,確實需進行全口洗牙療程以去除牙結石。口內牙齒表面上厚重的污垢及桑椹的色素沉積,宜用門診噴砂療程去除。因牙齒排列不整齊,清潔方面較不易,且患者沒有使用牙線的習慣,牙縫易有結石產生,針對不好刷的後牙牙縫,教導如何使用牙線及牙間刷。
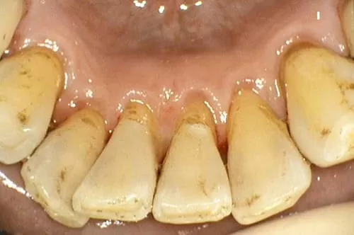
治療成果

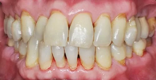
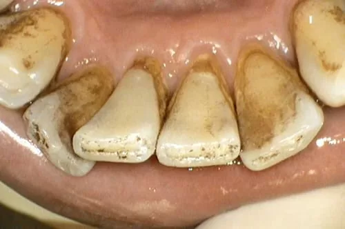
↑術前

↑術後

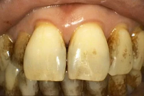
↑術前及術後 (口內攝影機拍攝)


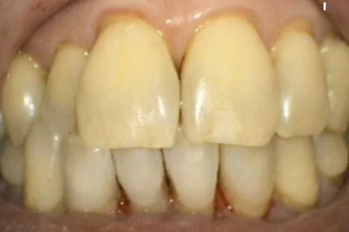
↑術前及術後 (口內攝影機拍攝)

醫師的話
目前醫療用作牙齒美白的方法有:噴砂、居家美白及冷光美白三種,除了噴砂之外,居家美白及冷光美白都是用化學特殊美白藥劑來作用,三者健保都不給付。噴砂的原理是利用小蘇打粉經過加壓,用撞擊的方式去沖洗掉牙齒表面上的色素沉積及汙垢,療程時間短,一次即可達到效果,所以此療程適合平時有吸菸、嚼食檳榔、喝咖啡或喝茶習慣的患者,可定期每六個月回診洗牙加噴砂療程。
門診操作時因採小蘇打粉作用,會有沙沙感,但於術後漱漱口便可。因為噴砂是將牙齒表面上的污垢及色素移除,只能恢復到患者原有的牙齒顏色,若是針對想要讓牙齒變得更白的患者,建議做居家或冷光美白來改善。反過來說,若牙齒表面污垢太多,宜先做噴砂療程,再搭配居家或冷光美白,才能事半功倍。
患者的話
家人都覺得我的牙齒牙垢很多,其實我很怕看牙齒,因為洗牙的聲音很可怕,又會很酸很痛,所以沒有定期檢查的習慣。我的女兒在這邊矯正,是她介紹我先來檢查,我想說連牙垢也一起處理一下,這樣去參加孫子的畢業典禮拍照看起來才不會髒髒的。
約診前幾天我本來還很害怕在想要不要改別天再去,前一天接到護士打來提醒時間,跟我說明天見,那我只好就硬著頭皮去了!沒有想到一來到這間牙科,一進門小姐就發現我滿頭大汗,馬上拿出面紙給我擦,很親切。後來進去後拍了牙齒的照片,從照片看我的牙垢真的好多好髒喔!護士很專業的跟我說明我的牙齒情況,還教我怎麼正確刷牙和用牙線,我本來都沒有用過牙線呢!
後來治療過程中就比較不會那麼緊張了,醫師在治療前都會很詳細地跟我解說他接下來要做的動作,「等一下要先洗下排的結石喔~」、「等一下用噴砂會有沙沙的感覺,會有稍微鹹鹹的味道喔~」,讓人非常非常的放心。
做完了以後也要拍牙齒的照片,這樣一比對之下真的是差很多呢~牙垢真的都被清掉了,原本黃黃黑黑的地方,現在都已經不見了!牙齒看起來好乾淨,自己看了很滿意。回家後家人都圍在我旁邊討論我的牙齒,說我早該去處理了,哈哈哈,謝謝敦南麗緻,經過這次美好的看牙經驗,我再也不怕洗牙了!

