門牙斷裂,使用全瓷冠牙套美容恢復牙齒美觀
患者主訴
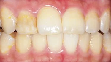
右側側門牙齒因外傷斷裂,當初僅用樹脂填補,容易變色不美觀,且不牢固容易脫落。

醫師診斷
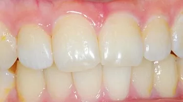
經了解患者的需求及狀況,除了美觀之外尚需考量到牙齒整個咬合的功能性,所以建議患者使用全瓷冠牙齒美容的方式進行治療。
醫師診療
- 先將舊有填補物移除牙齒修型。
- 再利用CEREC 3D齒雕全瓷牙冠恢復形態,美觀且自然。

治療前:原填補物變色泛黃

治療後:換上新的CEREC 3D齒雕全瓷牙冠,美觀自然

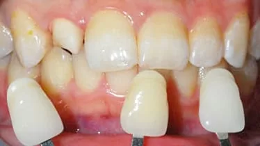
治療中:使用比色板比對與門牙合適的顏色
右側側門牙齒因外傷斷裂,當初僅用樹脂填補,容易變色不美觀,且不牢固容易脫落。

經了解患者的需求及狀況,除了美觀之外尚需考量到牙齒整個咬合的功能性,所以建議患者使用全瓷冠牙齒美容的方式進行治療。

治療前:原填補物變色泛黃

治療後:換上新的CEREC 3D齒雕全瓷牙冠,美觀自然

治療中:使用比色板比對與門牙合適的顏色