牙周病合併雷射治療恢復患者齒槽骨高度,牙齒更穩固
患者主訴
患者因右下第七顆大臼齒牙齦疼痛、長膿包,刷牙會流血,故前來診所諮詢檢查。
醫師診斷
透由數位X光片顯示,患者右下第七顆大臼齒該處牙齒骨有一區黑影,表示該區齒槽骨嚴重流失。
經牙周醫師透過全口牙周測量報告及顯微細菌採樣檢測,發現患者口腔患有嚴重牙周病問題,尤其右下第七顆大臼齒因長期清潔不當,造成牙菌斑大量堆積進而形成深層牙結石,齒槽骨逐漸被細菌侵蝕,造成齒槽骨嚴重流失。
治療方式
採用牙周病牙根整平術合併雷射治療。在局部麻醉之下,刮除深層牙結石,將牙齒表面及深藏在牙齒下的牙結石用器械刮除乾淨之後,使用雷射輔助深入牙周囊袋做深層滅菌。

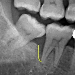
(治療前)
治療前X光片顯示說明:黑影區域為齒槽骨被牙結石及細菌嚴重侵蝕,齒槽骨被細菌侵蝕後的高度顯示出骨頭降低程度至牙根尖處。

(治療半年後)
治療後X光片顯示說明:齒槽骨已長回80%,復原狀況良好齒槽骨內的骨頭逐漸生長,骨頭高度比治療前高出甚多。

