門牙微創植牙,即拔即種,立即擁有假牙套
患者主訴
過年期間與孫子遊玩,左上門牙被撞了一下後,感覺疼痛並且會動搖,好像斷掉了,也擔心旁邊已經是植牙的側門牙會不會也受傷。另外我的前面6顆牙齒半年前才做好全瓷冠,若要拔掉植牙,會不會也要拆掉旁邊的全瓷冠?而且聽說連續兩顆植牙中間的牙肉會萎縮,如果做不好會很難看,所以前來診所評估。
醫師診斷
來診所之後,醫師馬上照射X光片及3D斷層掃描,確認是牙根斷裂必須拔除,旁邊的側門牙沒有受到損傷。
醫師跟我說明:因為我的側門牙已是植牙,若使用翻瓣手術,容易造成骨質流失,導致牙齦萎縮,會非常不好看。但經由3D斷層評估骨質密度及缺損狀況,應該採取微創植牙後補骨,並且可以馬上裝上臨時牙套,維持美觀,完全不會影響到我剛做好的全瓷冠。

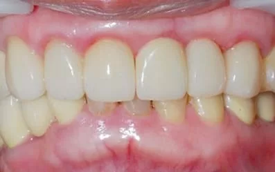
治療前:左上大門牙撞斷

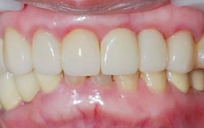
治療後:微創立即植牙恢復美麗外觀
診療過程
植牙當天,謝醫師將左上門牙拔除後,採用不翻瓣微創立即植牙,骨質缺損的地方用骨粉及再生膜填補,而且馬上為我裝上臨時牙套。二個半月後,醫師將我當初斷掉的那顆全瓷冠,修整後當成臨時牙套,並且進行牙齦塑型,再經過一個月後,裝上植牙柱心製作全瓷冠,兩顆植牙中間牙齦沒有萎縮,相當自然,完全看不出來曾經接受過植牙,我真是開心極了!

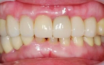
治療前:左上門牙疼痛、動搖,牙齦周圍有一圈黑黑的發炎。

X光片檢查,門牙已斷裂

採取無創傷性拔牙,看到牙根確實已斷裂

不翻瓣微創植牙:植入前檢查植體角度,再依理想位置植入Biomet 3i植體

裝上臨時柱心,不傷害鄰牙全瓷冠

不需戴活動假牙,馬上擁有固定臨時牙套

一周後回診拆線,周圍牙齦長得非常漂亮。

二個半月後,換成新的臨時牙套,並進行牙齦塑型。

待牙齦塑形一個月後,接上客製化氧化鋯柱心。

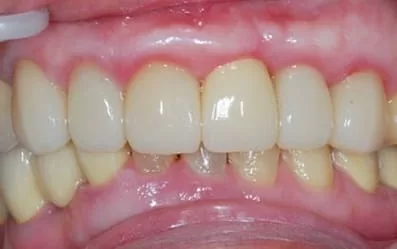
製作全瓷冠,是不是完全看不出來曾經接受2顆植牙呢!


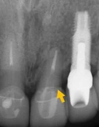
比較最初與植牙後的X片,可見到左邊與自然牙間完整保留原來的骨質(水平線),右邊與植牙間更誘導再生出更多的骨質(箭號),如此牙齦不會萎縮,才能塑型到漂亮。
患者的話
謝謝親切又細心的醫師,不僅沒有傷到我剛做好的全瓷冠,植牙後更不須佩戴極不方便的活動假牙,馬上就有固定的臨時牙套,而且竟然誘導旁邊植牙長出更多的骨質,使得我的牙齦不會萎縮。當然,這段期間我很配合治療,遵守醫師的囑咐,才能有如此完美的結果。
附註:客製化植牙氧化鋯柱心
是一種專為植牙患者量身訂做的植牙柱心。在門牙區為了製作出與自然牙幾乎一樣的自然與美觀,使用現成的氧化鋯柱心經常無法達到要求,因此必須使用臨時牙套將牙齦塑型後,再複製出能符合牙齦位置的柱心,使用白色氧化鋯植牙柱心,更能使得全瓷冠看起來更透亮,彷彿天生的牙齒般自然!




