全口植牙假牙重建,打造自信笑容
患者主訴
我的職業是房屋銷售專員,與人交談的機會多,外在對我來說更顯重要;尤其我很愛笑,每次笑得時候都得遮遮掩掩自己的牙齒,感到十分困擾。加上後面牙齒因年輕不懂事,之前的醫師說拔就拔掉,現在只能用前面的牙齒一小口一小口吃東西,我覺得已經影響臉型,現在我的臉頰就呈現凹陷狀態,腸胃也變的很不好,於是下定決心進行全口治療、植牙及門牙的美容治療,希望重新回復吃東西的樂趣,找回漂亮的臉蛋。
<其實我怕死了~真的是下了好大決心才來看牙的>
醫師診斷與治療
跟患者充分溝通後,建議先從兩側後面植牙,恢復牙齒的咬合高度,等待植牙恢復期間,再進行前牙的假牙更換,一步一步建立咬合高度及微笑曲線。

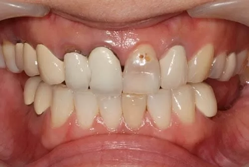
(圖一 治療前)
患者下方後面缺牙,前牙舊有假牙冠已牙齦萎縮不密合,牙齒內部也開始蛀牙,全口顏色也都不一致。

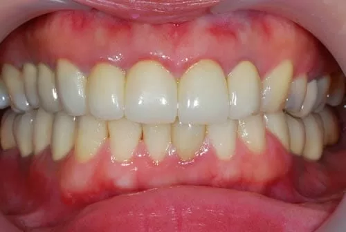
(圖二 治療後)
牙齒回復咬合高度,後牙區也回復正常咀嚼功能,牙齒色澤統一,重現自信笑容。
患者的話
現在我的牙齒看起來不只自然美觀,吃東西也都沒問題喔! 而且我終於可以盡情大笑,連帶工作業績長紅。
謝謝所有大家對我這陣子來的用心,更要感謝邊幫我看診時邊說笑話的醫師。

