門牙植牙合併使用3D齒雕牙套,恢復光采笑容及功能
醫師診斷與治療
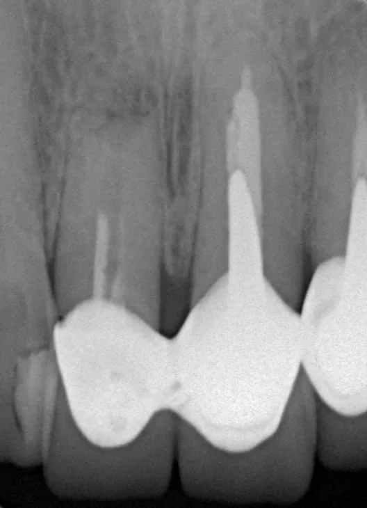
此患者多年前右上大門牙接受根尖切除術,但並未做根管治療及根尖逆填充,導致根尖吸收、搖動度過大以及咬合不良(圖1)。
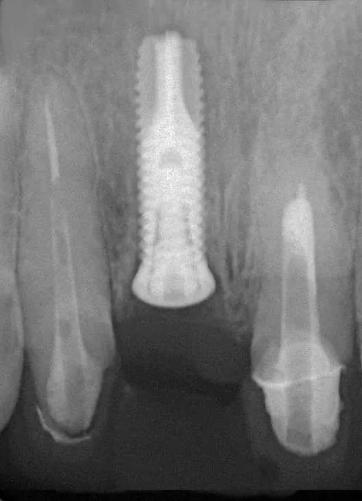
左上兩顆門牙,有牙套不密合之情況。 經仔細評估後,決定拔除並立即植牙(即拔即種,圖2);
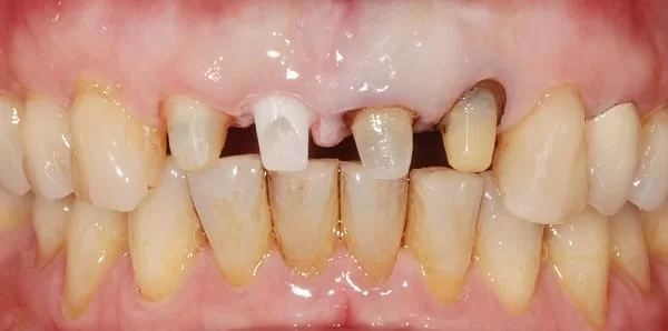
另可看到,左上側門牙的牙根已被之前的金屬牙套染成黑色(圖4)。
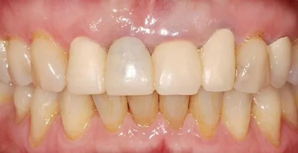
三個月後,四顆門牙裝上3D齒雕牙套,恢復咀嚼功能及美觀;看不出來哪一顆是植牙的牙齒。(圖5,6)

(圖1: 治療前X光片可見牙根已被吸收)

(圖2: 拔除右上門牙並立即植牙)

(圖3: 治療前4顆門牙為臨時假牙)

(圖4: 三個月後使用氧化鋯柱心, 預備做固定牙套)

(圖5: 治療後正面觀)

(圖6: 治療後正面微笑觀)

